目次
歯科恐怖症の方が綺麗になるまで頑張った物語

治療までの経緯
歯科恐怖症だった患者様の勇気ある一歩
「歯が悪くなっているのはわかっていたんです。でも、歯医者が怖くて行けませんでした。
とうとう歯がグラグラして噛めなくなってきて…覚悟を決めて来ました。」
長年、歯医者への恐怖心を抱えていた患者様が勇気を出して来院されました。
お話を伺うと、昔通っていた歯科医院での怖い経験がトラウマになり、何年も受診を避けていたとのこと。それでも、食事のときに歯が動いて噛めなくなり、「このままではいけない」と一大決心されたそうです。
お口の中を拝見すると、昔、主流だった「歯周補綴(ししゅうほてつ)」という、すべての歯をつなげて固定する治療がされていました。
この方法は一見、硬くてしっかりしていますが、実は歯磨きが難しく、歯周病が進行しやすいという弱点があります。
さらに、どこか一部の歯にトラブルが起きても部分的に外すことができないため、最終的には“全ての歯を一度に失う”リスクを抱えています。
患者様の上の歯は全体的に大きく動揺しており、歯を支える骨がすでにかなり吸収していました。
このままでは全ての歯が抜け落ちてしまう可能性が高い状態でした。
「よくここまで頑張って噛んでこられたな」と感じるほどの状態でしたが、患者様ご本人も「もう限界です」と、強い決意をもって来院されました。

治療方針のご提案
患者様のご希望は「もう一度しっかり噛めるようになりたい、そして思い切り笑えるようになりたい」というものでした。その想いを叶えるために、次のような治療計画を立てました。
◆ 上顎:オールオン5(All-on-5)
上の歯は大部分が保存困難だったため、5本のインプラントで全ての歯を支える『オールオン5』という方法を採用しました。オールオン4は4本のインプラントで支える方法のこと言います。
これは、少ない本数のインプラントでしっかりと固定された美しい歯列を再現できる、見た目・機能性・耐久性を兼ね備えた最先端の治療法です。治療後は、まるで自分の歯のように噛めるようになります。
◆ 下顎:奥歯はインプラント、前歯はブリッジ
下の歯は、奥歯にインプラントを埋入し、前歯は残せる歯を活かしてブリッジで連結。
健康な歯をできる限り温存しながら、噛み合わせ全体のバランスを整える設計としました。
治療後の未来へ
このプランにより、上と下の歯がしっかりと支え合い、「しっかり噛める」「自然に笑える」「食事が楽しい」お口を取り戻すことができます。歯科恐怖症で長年悩んでこられた患者様にとって、この治療は“恐怖からの解放”であり、人生を取り戻す一歩でもあります。
「入れ歯はイヤ」。患者様の強い想いに応えるために
オールオン4・オールオン5・オールオン6はいずれも、すべての歯をインプラントで支える先進的な治療法です。
最終的には固定式の美しい歯が入り、しっかりと噛めるようになります。
しかし、治療の途中にはどうしても一時的に歯がすべてない期間が生じるため、その間だけ「入れ歯(仮の義歯)」を装着するケースが多いのが現状です。
ところが今回の患者様は、「どうしても入れ歯はしたくない」という強いご希望をお持ちでした。
毎日の生活で、入れ歯による違和感や見た目の不安を感じたくないという想いがあり、そのお気持ちに私たちも全力で応えたいと考えました。
他にも問題はあり、骨の少なさという大きなハードル検査の結果、上顎の骨量が非常に少なく、インプラントを安定させるには大幅な骨造成(こつぞうせい)が必要であることがわかりました。骨造成とは、骨が足りない部分に人工骨などを補い、新たな骨を再生させてインプラントがしっかり支えられるようにする治療です。
この骨が十分に硬くなるまでには、治癒期間が必要になります。
チタンフレームを用いた高度再生治療:GBR法

今回は特に、骨の高さを増やす「垂直的骨造成」が必要でした。
そのため、チタンフレームを使用したGBR法(骨誘導再生法)を採用しました。
この方法は、失われた骨の形を立体的に再現しながら、強固で安定した骨を再生することができる非常に高度な技術です。時間はかかりますが、最終的には入れ歯を使わずにしっかり噛める固定式の歯を実現できます。
入れ歯を使わずに治療を進めるための挑戦
骨造成の期間中は、まだ最終的なインプラントを埋入することができません。
さらに、インプラントを埋入した後も骨としっかり結合(オッセオインテグレーション)するまでには時間がかかります。
そのため、通常はこの間「仮の入れ歯」を装着して生活していただくのが一般的です。
しかし、今回の患者様は「どうしても入れ歯だけは使いたくない」と強く希望されました。そこで私たちは、入れ歯を使わずに治療を進める方法を検討しました。
抜く予定の歯を“つなぎ役”として活かす
まず考えたのは、最終的に抜歯予定の歯を一時的に利用する方法です。
その歯に小さな土台(ポスト)を立て、仮歯を支える“つなぎ役”として活用しました。
この歯はあくまで最終インプラントへ力を引き継ぐまでの暫定的な支えです。
ただし、今回はその「一時的に使える歯」すら限られており、非常に難しいケースでした。
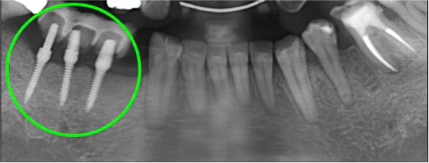
解決策『暫間インプラント』
そこで活躍したのが、『暫間インプラント(テンポラリーインプラント)』です。
これは、細いミニスクリュー状の仮のインプラントで、骨造成中や本インプラントの生着を待つ間に、仮歯を支えるためだけに使用する特殊な装置です。
当院では、この暫間インプラントを積極的に活用し、入れ歯を使わずに美しく・快適に治療を進めるケースを多く行っています。





入れ歯なしで最後まで
今回の患者様は、上顎はオールオン5になるのですが、2本の残根歯と2本の暫間インプラントの合計4本を組み合わせることで、治療期間中も常に仮歯で噛むことができ、一度も入れ歯を使うことなく治療を完了することができました。これは、患者様の強い意志と綿密な治療計画、そして高度な技術のすべてが揃って初めて実現できるケースです。
入れ歯を使わない治療には条件があります
ただし、この方法はすべての方に適用できるわけではありません。
・利用できる残根があるか
・暫間インプラントを支えられるだけの骨があるか
といった条件を精密に見極めるために、詳細な審査診断が必要です。
もし「入れ歯を使いたくない」「自然な歯のように噛みたい」とお考えの方は、一度ご相談ください。
あなたの理想に合わせた最適な治療プランを一緒に考えていきます。
暫間インプラントを用いたその他の類似症例




インプラントがしっかり骨と結合。そして、仮歯へ
時間をかけて丁寧に骨造成を行い、最終的なインプラントが骨としっかり結合(オッセオインテグレーション)したことを確認しました。ここまでのプロセスは長く、決して簡単ではありませんでしたが、確実に前へと進んできました。
この期間を支えてくれたのは、暫間インプラントと保存が難しかった残根の歯たちです。
本来は役目を終えたはずの歯が、最後の力を振り絞って仮歯を支えてくれました。
そのおかげで患者様は、入れ歯を使わずに食事や会話を楽しむことができたのです。
私はいつも、抜歯のときに心の中でこうつぶやきます。
「よく頑張ってくれたね。今まで本当にありがとう。」
歯は、長年あなたの生活を支えてくれた“身体の一部”です。
だからこそ、最後までその役目を果たしてくれたことに感謝の気持ちを込めて見送る。
それが私の信念です。
自分の歯に勝るものはありません。どうか皆さんも、今ある歯を大切にしてあげてください。
オールオン5の仮歯のセットと最終チェック
骨と結合が確認できた後、いよいよオールオン5の仮歯(プロビジョナル)を装着します。この段階で、残っていた歯や暫間インプラントはすべて除去し、最終設計に基づいたオールオン5の仮歯をセットします。
ここからが重要なステップです。
仮歯を用いて、噛み合わせのバランスや見た目の自然さ、そして口もと全体の調和(スマイルライン)を丁寧に確認していきます。
このチェックを通して、「自然な笑顔が戻る瞬間」への最終調整をします。



上顎の治療 『型採りも快適に。全てをデジタルで』

最終的な歯の型採り(印象)は、すべて口腔内スキャナーによって行いました。
従来のような、粘土のような材料をお口いっぱいに入れて固まるのを待つ。そんな不快な型採りは、当院ではほとんど行っていません。スキャンはわずか数分で完了し、患者様からは「全然苦しくなかった」「えっ、もう終わったの?」と喜ばれることがほとんどです。この快適さこそが、デジタル技術の大きな魅力です。
Smile Design Clinicは、全国でも有数のデジタル歯科専門クリニック

当院は、全国でも数少ないデジタル歯科治療に特化したクリニックとして知られており、院長は指導的立場として全国の歯科医師にデジタル歯科治療を教えています。
精密かつ安全な治療を行うために、あらゆる工程をデジタル化。スキャンデータは即座に3Dで確認でき、技工士との情報共有もリアルタイムで行えます。これにより、患者様の負担を最小限にしながらも、より正確で、より美しい仕上がりを実現しています。
インプラントに最適な「スキャンボディー技術」
インプラントの型採りには、スキャンボディーという特殊な器具を使用します。
これをインプラントに装着してスキャンすることで、インプラントの位置・角度・深さをミクロン単位で正確に記録できます。
このデジタル印象データをもとに、人工歯の形状や噛み合わせを精密に設計し、患者様一人ひとりに最適な補綴物を製作します。



当院は口腔内スキャナーを各チェアーに完備しており、全ての症例で口腔内スキャナーの使用をしております。
デジタルは、患者様の“やさしさのため”に
口腔内スキャナーは、単なる機械ではなく「患者様にやさしい装置」です。
「苦しくない」「早い」「正確」。
これらをすべて両立できるからこそ、現代のインプラント治療には欠かせない存在となっています。
当院では、こうした最新技術を“安心して通える歯科治療”のためのツールとして活用しています。患者様に笑顔で「もう怖くなかった」と言っていただける。
それが、私たちがデジタルを追求する最大の理由です。
下顎の再構築『残せる4本の歯を最大限に活かす』
精密な診査・診断の結果、下顎で保存できる歯はわずか4本でした。残せたのは、左右の犬歯(けんし)と第1小臼歯(だいいちしょうきゅうし)です。
これらの歯は、下顎の中でも噛み合わせや見た目のバランスをとるうえでとても重要な歯です。私たちは、この4本を土台として前歯部の再構築を行い、奥歯の部分にはインプラント治療を計画しました。
前歯と奥歯の連携で「噛める」と「美しい」を両立
奥歯のインプラントがしっかりと噛む力を支え、前歯は残っている天然の歯を利用してセラミックで美しく修復しました。結果、見た目にも自然で、機能的にも安定した『理想的な咬合(こうごう)』を実現。
患者様も「しっかり噛めるようになった」「自然に笑えるようになった」と喜ばれていました。
犬歯を守る ― 美しさよりも“長く保つ”選択
治療計画の中で特に配慮したのが、左右の犬歯です。
犬歯は噛み合わせを支える“要(かなめ)”のような歯ですが、根元(歯ぐき近く)を削りすぎると歯が細くなり、強度が落ちてしまうというリスクがあります。そこで、犬歯の形成量(削る量)を最小限に抑え、ご自身の歯の構造をできるだけ残す方法を選択しました。
その結果、犬歯の根本の部分は少し色が異なりますが、唇で見えない部分であり、歯の寿命という観点から見ると圧倒的に長持ちする治療法になります。
患者様にもその利点を丁寧にご説明し、ご理解・ご同意をいただきました。
歯を「残す」という最大の価値
最新のインプラント技術を駆使しても、自分の歯に勝るものはありません。
だからこそ、残せる歯が1本でもあるなら、その価値を最大限に活かしたい――
それが、私たちSmile Design Clinicの治療理念です。
今回のケースでも、わずか4本の歯が“噛む力のバランス”を守り、新しいインプラントと美しい前歯を支える、大切な役割を果たしてくれました。


上下の最終的な被せ物の作製
仮歯の役割は最終形へのリハーサルです。仮歯(プロビジョナル)は、単に“見た目を整えるための一時的な歯”ではありません。最終的な噛み合わせ・見た目・発音・口元のバランスを確認するための大切なステップです。
当院では、仮歯の段階で次のような点を丁寧にチェックします。
• 噛み合わせの高さや力のバランス
• 笑ったときや会話中に見える歯の自然さ
• 話しやすさや発音のしやすさ
• 頬や唇を噛まないか
• 口元全体の調和(スマイルライン)
これらをすべて確認することで、最終的な仕上がりを精密に予測することができます。
ご自宅で実際に使ってもらう期間
仮歯は、実際にご自宅で生活しながら使用していただきます。
食事・会話・表情の中で、「どんなときに違和感があるか」「自然に笑えるか」などを感じていただき、患者様ご自身にもリアルな生活の中で最終形を体験してもらうのです。
この段階で気になる点や調整が必要な部分をフィードバックしていただき、
微調整を行いながら“理想の形”を一緒に作り上げていきます。
問題がなければ、いよいよ最終ステップへ

数週間の使用後、「噛みやすい」「自然に話せる」「見た目も気に入った」
といった確認が取れたら、いよいよ最終的な被せ物(ファイナルクラウン)の製作へ進みます。仮歯で得た情報が、そのまま最終補綴の完成度を決める――
それほどに、仮歯は重要な“試運転のステージ”なのです。仮歯での問題点をすべて解決した最終的なセラミックの製造に入ります。
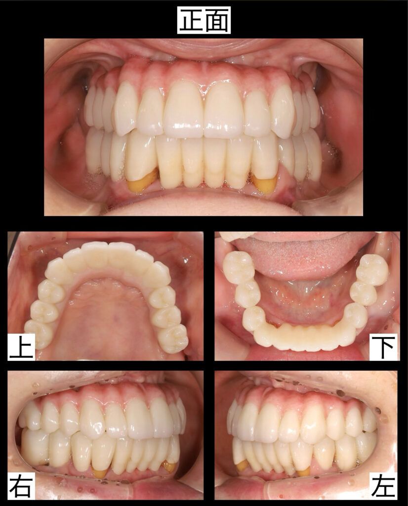
最終セラミックのセット〜笑顔を戻った瞬間〜
いよいよ、最終的なセラミック補綴物をセットする日を迎えました。
仮歯の段階でも、患者様は「これでもう十分満足です」と笑顔を見せてくださっていましたが、最終的なセラミックが口の中に入った瞬間――その表情は、まるで新しい人生が始まったかのように輝きました。色味はより自然で、透明感のある光を放ち、唇からのぞく歯のラインはとても美しく、まさに“理想のスマイル”そのものでした。(以下の写真参照)
恐怖心が自信に変わった瞬間
治療がすべて終わったあと、私は静かにお聞きしました。
「もう、歯医者さんは怖くありませんか?」
すると、患者様は優しい笑顔でこう答えてくださいました。
「もう怖くありません。」その一言に、私たちは胸が熱くなりました。
かつて“歯科恐怖症”で足を運ぶことさえできなかった患者様が、今では自信に満ちた笑顔でそう言ってくださる――
それは、私たちにとって何よりも嬉しい瞬間でした。
最終的なセラミックをセットした写真




治療を終えた患者様からのメッセージ
「怖かった治療が皆さんのおかげで終えることができました。
昔の歯医者さんとは違って、痛みも少なく、スタッフの皆さんがとても優しかったので通うことができました。しかも、こんなに綺麗にしてもらって、また笑えるようになりました。本当にありがとうございました。」
このお言葉をいただいたとき、私を含め、スタッフ全員が心から嬉しく、胸がいっぱいになりました。私たちが日々大切にしている「恐怖を安心に変える歯科治療」が、こうして一人の患者様の笑顔につながったこと。それこそが、私たちの仕事の原点であり、最高のご褒美です。
歯科医師としての幸せ
歯科医師をしていて、心の底から「この仕事をしていてよかった」と思える瞬間――
それは、患者様の笑顔が変わる瞬間です。
怖くて閉じていた口元が、安心と喜びで自然にほころぶ。
その一瞬の笑顔に、これまでの努力と時間がすべて報われる気がします。
私たちはこれからも、恐怖ではなく“希望”を感じてもらえる歯科を目指し、一人でも多くの患者様に「もう怖くありません」と言っていただけるよう努めてまいります。
治療前後の写真


メインテナンスへ
ここからが本当のスタート ― オールオン治療を長持ちさせるために
治療がすべて完了したあと、私は患者様にこうお伝えしました。
「今日で治療は終わりではありません。ここからが、本当のスタートです。」
オールオン4・オールオン5の治療は、“噛める・笑える”という喜びを取り戻すための素晴らしい治療法ですが、長く健康に使い続けるためには、定期的なメンテナンスが欠かせません。
インプラントを守るために ― 最大の敵は「歯周病」
インプラントを失う最大の原因は、実は歯周病(インプラント周囲炎)です。
見た目がきれいでも、清掃が不十分だったり、噛み合わせに無理があったりすると、知らないうちに歯ぐきの中で炎症が進行してしまうことがあります。
その予防のために、私たちは以下のメンテナンスを大切にしています。
• 歯石・プラーク(細菌のかたまり)の除去
• 歯ぐきの腫れ・発赤・炎症のチェック
• 定期的なレントゲン撮影で骨の状態を確認
• 噛み合わせの微調整・チェック
噛み合わせの調整こそ、成功のカギ
特に重要なのが、噛み合わせのチェックです。
インプラントは天然の歯のように“クッション(歯根膜)”がないため、
力のかかり方が少しずれるだけで、インプラントや骨に大きな負担がかかります。
そのため、わずかな変化も見逃さないよう、熟練した歯科医師の技術と経験が求められます。当院では、治療後も噛み合わせを定期的に確認し、安定した状態を長く保てるようサポートしています。
一緒に守っていく“新しい歯”
患者様にも、これからの大切さを丁寧に説明し、
「この歯を一緒に守っていきましょう」とお伝えしました。
患者様も力強くうなずき、新しい笑顔とともに“これからの10年・20年”を見据えて歩み始めました。
治療の終わりは、同時に“新しい人生のスタート”。
その笑顔をいつまでも輝かせるために――
私たちは、これからも患者様と二人三脚で歩み続けます。
ドクターからのアドバイス〜歯科恐怖症について〜
~歯科恐怖症で悩む方へ~
歯医者が怖い―そう感じる方は、決して少なくありません。
実はその多くの原因は、「説明不足」にあると私は考えています。
「今日はどんな治療をするのか?」
「インプラントを入れた日はどうなるのか?」
「痛みはどのくらい続くのか?」「腫れは出るのか?」
患者様が不安に思うことは、本当にたくさんあります。
それをきちんと説明せずに治療を進めてしまえば、
誰だって怖くなるのは当然のことです。
『心の準備』があるだけで、不安は小さくなる
人は、何が起こるかわからないときに強い不安を感じます。
たとえば、突然肩を叩かれたらびっくりして痛く感じますが、「今から触りますね」と言われてからなら、同じ刺激でも痛みはずっと小さく感じるものです。
歯科治療もそれと同じです。
治療内容を理解し、心の準備ができているだけで、不安は大きく和らぎ、痛みの感じ方も変わってきます。
私たちが大切にしていること
私たちが目指しているのは、「安心して通える歯科医院」です。そのために、私たちは常に患者様の立場に立ち、「どこが不安だろう?」「どんな説明があれば安心できるだろう?」と考えながら、できる限り丁寧に説明するよう心がけています。
納得して治療を受けていただくことが、恐怖心を和らげる第一歩であり、“信頼関係のスタート”だと信じています。
あなたの不安を、私たちと一緒に少しずつ解消しましょう
歯医者が怖い方こそ、まずはお話をしに来てください。
すぐに治療をする必要はありません。
不安な気持ちを話してもらうことから、すべては始まります。
「怖かった歯医者が、安心して通える場所になる」――
その変化を一緒に感じていただけるよう、私たちはこれからも、説明と信頼を大切にしてまいります。
症例の詳細
| 年齢 | 50代女性 |
| 主訴 | 全体的に歯がグラグラしていて噛めない。歯医者が怖い。 |
| 治療内容 | 上顎オールオン5本 下4本のインプラント治療 |
| 費用 | 上顎オールオン5 260万円※片顎 |
| 期間 | 10ヶ月 |
| リスク・副作用 | 治療後はしっかりとメインテナンスを行わないと歯周病になる可能性がかります。 |
【執筆・監修者】

帝塚山Smile Design Clinic(スマイルデザインクリニック)
院長:岩下太一(歯学博士)
ITI日本支部公認インプラントスペシャリスト認定医
オステムインプラントインストラクター 講師
他、所属学会、認定資格多数
当院の院長はインプラント治療を他の歯科医師に教えるインストラクターの指導的立場として歯科界に貢献しております。また世界的に有名なインプラント学術団体ITIのインプラントスペシャリストの認定医でもあります。他院で難しいと言われたインプラント治療でもインプラント大阪では十分に対応できる技術があります。
詳しい経歴はこちら







