治療までの経緯

患者様は歯の色と裏側が割れているが気になったので来院されました。前歯が黒く、歯の中で膿と虫歯が広がっており破折していました。歯の保存は残念ながら不可能であり、隣の左右の歯を削らずにすむインプラント治療を選択されました。
臨床例
インプラント最終の被せ物の印象

インプラントを埋入し、インプラント体が骨と結合(オッセオインテグレーション)した後に、仮歯をいれました。仮歯で問題ないことを確認した後に、セラミックの印象をとりました。今回は、角度の問題でスクリュー固定が難しかったので、ジルコニアの土台(アバットメント)を用いたセメント固定を利用しています。
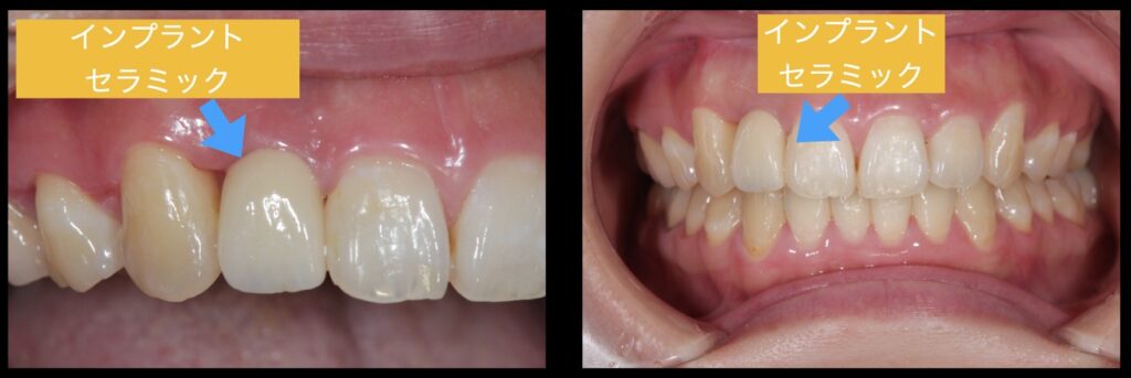
インプラントセラミックが入った治療完成後

症例の詳細
| 年齢 | 30代女性 |
| 主訴 | 歯の色が黒い |
| 治療内容 | 前歯1本のインプラント |
| 費用 | 46.2万(税込)×1本 |
| 期間 | インプラントのみの治療:4ヶ月弱 |
| リスク・副作用 | 治療後はしっかりとメインテナンスを行わないと歯周病になる可能性がかります。 |
【執筆・監修者】

帝塚山Smile Design Clinic(スマイルデザインクリニック)
院長:岩下太一(歯学博士)
ITI日本支部公認インプラントスペシャリスト認定医
オステムインプラントインストラクター 講師
他、所属学会、認定資格多数
当院の院長はインプラント治療を他の歯科医師に教えるインストラクターの指導的立場として歯科界に貢献しております。また世界的に有名なインプラント学術団体ITIのインプラントスペシャリストの認定医でもあります。他院で難しいと言われたインプラント治療でもインプラント大阪では十分に対応できる技術があります。
詳しい経歴はこちら







