白くて綺麗な歯って憧れますよね。素敵な笑顔からこぼれる白い歯は、まるで輝くジュエリーのようです。当院にも、白く美しい天然の歯を手に入れたいとホワイトニングを希望される方が多くご来院されています。
最近は女性だけでなく男性のご相談も増え、幅広い年代の方が「口元の印象」を大切にされるようになってきました。当院では、お一人おひとりのご希望やお口の状態に合わせて、負担を抑えながら歯を白くするホワイトニングをご提案しています。
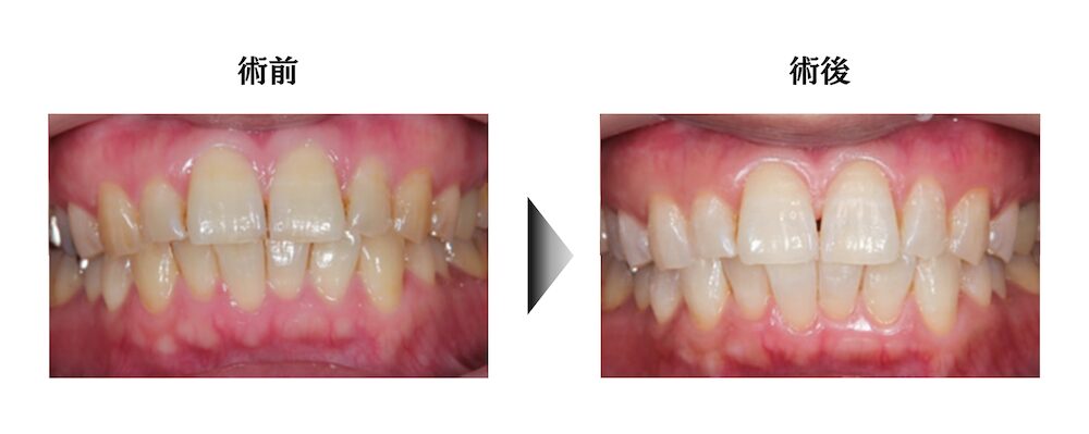
当院のホワイトニングをご覧ください

| 治療内容 | ホームホワイトニング |
| 治療期間 | 2週間(ご自宅で行っていただきます) |
| 治療費用 | 40,000円 |
| リスク | 人によってはしみる方がいますが、濃度も何種類かご用意していますので、あなたにあった濃度のホワイトニング剤をご提案します。 |

| 治療内容 | オフィスホワイトニング |
| 治療期間 | 来院2回~3回 |
| 治療費用 | 42,000円 |
| リスク | 患者様によってしみる方がいらっしゃいます。ベテランの衛生士ができるだけしみないように濃度をコントロールしながら施術させて頂きまので安心してお任せください。 |
当院のホワイトニングメニュー
オフィスホワイトニング(短期間で白さを実感したい方に)

当院の院内で行うホワイトニングです。ホワイトニング剤を歯の表面に塗布し、専用の光を当てて色素を分解していきます。「結婚式や撮影など、日程が決まっていて早く白くしたい」という方におすすめの方法です。
患者様によってはしみることがありますが、当院では薬剤の濃度を複数ご用意し、ベテランの歯科衛生士が状態を見ながら細かくコントロールして施術を行いますので、できるだけ負担を抑えたホワイトニングが可能です。
最新のポーラスホワイトニングシステムを使用
ポーラスホワイトニングは強力なホワイトニング効果を維持しながら、有害な紫外線や過度な発熱を抑えた、安全な設計のもとに作られており従来機のビヨンドホワイトニングシステムと合わせると国内約4,000件のクリニックに導入されています。
ポーラスホワイトニングとは日本人の環境、歯に合った日本人の為に開発された日本で一番導入されているホワイトニングシステムです。
ホームホワイトニング(ご自宅でじっくり白くしたい方に)

ご自宅で行っていただくホワイトニングです。まず当院でお口に合わせた専用のマウスピースを作製し、その中にホワイトニングジェルを入れて毎日一定時間装着していただきます。
オフィスホワイトニングに比べると白くなるまでに少し時間はかかりますが、そのぶん色の後戻りがゆるやかで、「自然な白さを長くキープしたい」「自分のペースで進めたい」という方に向いています。
より効果を長持ちさせたい、より早く効果を実感したい方は、オフィスホワイトニングとホームホワイトニングを併用する、デュアルホワイトニングもおすすめです。
ウォーキングブリーチ(神経をとった歯を白くしたい方に)
神経をとった歯は、時間の経過とともに中から少しずつ黒ずんでくることがあります。ウォーキングブリーチは、そのような「1本だけ濃い色になってしまった歯」の内部に薬剤を入れ、内側から少しずつ白くしていく治療です。
差し歯にせず、できるだけご自身の歯を生かしながら色を整えたい方に適した方法です。
※神経をとった歯専用のホワイトニングです。
ホワイトニングの効果をより高めるために
ホワイトニング前に歯のクリーニングを受けていただくことで、より効果的に色味のムラのない治療が可能になります。そこで、ホワイトニングとクリーニングを同時契約の方は、通常¥10,000(税別)のところ、¥5,000(税別)でご提供しております。
また、ホワイトニングは時間が経つと少し後戻りするので、治療後にも歯のクリーニングやホワイトニングのリタッチをお勧めしております。
当院のホワイトニングの特長
- 各人にあったオーダーメイドのメニューを提供します。
- 繊細かつ丁寧に、十分に時間をかけムラなく歯を白くします。
- プライバシーに配慮し、完全個室でお会計まで各部屋います。
- 女性はもちろん、男性も来院しやすいデザインの医院です。
当院のホワイトニング費用

| オフィスホワイトニング(2回来院して頂くタイプのホワイトニング) | 42,000円 |
| ホームホワイトニング(マウスピースを作製しご自宅でのホワイトニング) | 40,000円 |
| ウォーキングブリーチ(神経をとった歯のホワイトニング) | 50,000円/1歯 |
| クリーニング | ホワイトニングと同時契約で5,000円 |
自費診療となります。
上記は税別です。
2024年3月より料金改訂となりました。

各種クレジットカードでの分割払いも承っています。
また、お手続き簡単で金利の安いデンタルローンもご利用いただけます。
※詳細はお問い合わせください。
まずはご相談から、あなたの笑顔づくりをお手伝いします

TaichiIwashita
当院のホワイトニングは、あなたのお口の状態やご希望をじっくりうかがうところからスタートします。歯の質や色の原因、ライフスタイルによって、最適なホワイトニングの方法や通院回数は人それぞれ異なります。当院では、一度きりの「その場しのぎ」ではなく、できるだけしみないよう配慮しながら、無理のない計画で白さをめざしていくことを大切にしています。
口元は、お顔全体の印象を左右する大切なパーツです。「写真を撮るときに口元が気になる」「仕事やプライベートでもっと自信を持ちたい」など、どんな小さなお悩みでも遠慮なくお話しください。
ホワイトニングが初めての方も、以前にあまり良い経験がなかった方も、まずは一度ご相談いただければと思います。あなたが笑顔で毎日を過ごせるよう、スタッフ一同、丁寧な説明と誠実な治療でお手伝いさせていただきます。お気軽にお問い合わせください。
