多くの方が若い時にしておけば良かったと、後悔する第一位をご存知でしょうか?それは『歯の定期検診』や『歯の治療』です。皆様、本当に後悔されています。大人の歯は一度失うと二度と取り戻すことはできません。今ある歯を大切にし、美味しく食べることが、口だけでなく、体の健康にも非常に大切なことです。それには歯のクリーニングが非常に重要です。
男性の方は仕事で忙しく年をとって歯がボロボロの人が多く見受けられます。今、この文章を読まれているあなたもその一人かもしれません。また若い人で今はそうでない人も聞いて頂きたい。歯のクリーニングを定期的にすることは健康につながり、あなたの未来の幸せにつながります。
あなたの歯を守るためのクリーニング

患者様のお口の状態は一人ひとり異なります。当院は、患者様のお口の状態にあわせたクリーニングを提案させて頂きます。当院のクリーニングの特徴は以下のようなものが挙げられます。
当院の上質なクリーニング
- 歯周病学会認定衛生士による丁寧で正確なクリーニング
- 一人ひとりにあったオーダーメイドのメニューをご提案
- 通常のクリーニングの1.5倍〜の時間をとり、隅々まで綺麗に
- 上質な仕上がりで心地よい爽快感、虫歯予防、歯周病予防
- 完全個室でプライバシーの守られた空間で処置
- 男性・女性ともに来院しやすい空間デザイン
歯のクリーニングの主な4つの目的
1. むし歯・歯周病になりにくい環境をつくる

歯の表面や歯と歯ぐきの境目には、毎日の歯みがきだけではどうしても落としきれない汚れが残ってしまいます。この汚れが時間とともに固まったものが「歯石」であり、その表面はザラザラしていて細菌がつきやすい状態です。
歯のクリーニングでは、この歯石やバイオフィルム(細菌のかたまり)を専用の器具で丁寧に取り除き、細菌が増えにくいお口の環境を整えます。
2.歯ぐきや治療した歯を長持ちさせる
歯周病は自覚症状が少なく、「気づいたときには歯ぐきや骨がかなりダメージを受けていた」というケースも少なくありません。歯のクリーニングで汚れを取り除くことで、腫れや出血をおさえ、健康を保つことにつながります。
また、すでに受けている治療を長く良い状態で保つためにも、定期的なクリーニングは欠かせません。インプラント周囲や矯正装置の周りは汚れがたまりやすく、トラブルの原因になりやすい部分です。プロのケアで、治療の寿命をできるだけ延ばすことを目指します。

3. お口のトラブルを早期に発見する

クリーニングのたびに、お口の中はすみずみまでチェックします。その際に、次のような変化に気づきやすくなります。
- 初期むし歯や、詰め物・被せ物の不具合
- 歯ぐきの腫れ・出血・ポケットの深さ
- 噛み合わせの変化や、歯のすり減り など
これらは、日常生活の中ではご自身では気づきにくいことが多いものです。定期的なクリーニングで小さな異変を見つけ、症状が軽いうちに、負担の少ない治療で対応します。
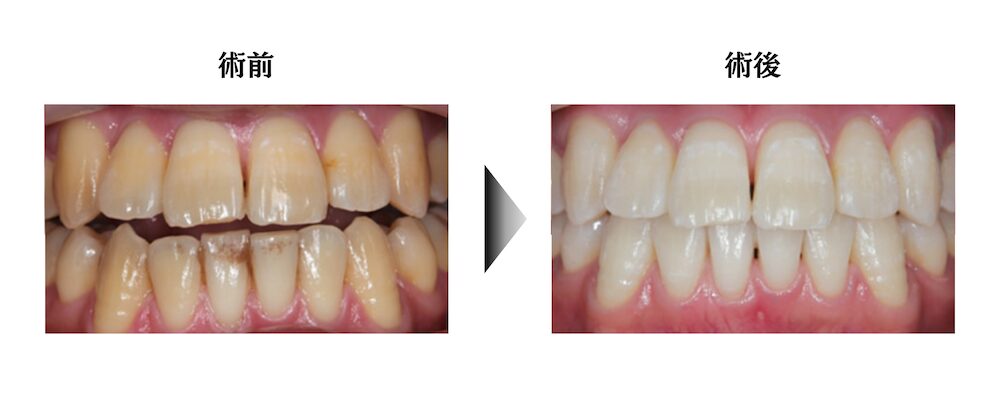
4. 歯の着色を落として、口元の印象を整える
日々の飲食や嗜好品によって、歯の表面には「色の汚れ(ステイン)」が少しずつ蓄積していきます。これらの着色は、毎日の歯みがきだけでは落としきれず、「なんとなく歯が黄ばんで見える」「口元がくすんで見える」といった印象につながります。
歯のクリーニングでは、専用の器具やペーストを使って、このような表面の着色を丁寧に除去していきます。

歯の黄ばみの徹底除去ならホワイトニングもおすすめです
ステインやプラークだけなら、歯のクリーニングで綺麗になりますが、本来の歯の色そのものを変えるわけではありません。歯をより白くしたい人は、クリーニングに加えてホワイトニングも行うことをお勧めします。
ホワイトニングにも色々な方法があります。当院ではあなたにあったぴったりのホワイトニングを提案させて頂きます。

| 治療内容 | ホームホワイトニング |
| 治療期間 | 2週間(ご自宅で行っていただきます) |
| 治療費用 | 40,000円 |
| リスク | 人によってはしみる方がいますが、濃度も何種類かご用意していますので、あなたにあった濃度のホワイトニング剤をご提案します。 |
歯科衛生士によるクリーニング費用

| 歯のクリーニング(60分〜90分) | 12,000円 |
| 他の治療と同時契約の場合 | 12,000円→5,000円 |
| 歯周病の方の歯のクリーニング(SRPコース)麻酔をしっかりして約5回~6回にわけてしっかり歯石を取っていきます | 40,000円 |
自費診療となります。
上記は税別です。
2024年3月より料金改訂となりました。

各種クレジットカードでの分割払いも承っています。
また、お手続き簡単で金利の安いデンタルローンもご利用いただけます。
※詳細はお問い合わせください。
歯のクリーニングを生活の一部に

TaichiIwashita
健康で清潔な口元は、ご自身が気持ちよく過ごせるだけでなく、一緒に過ごす方にも安心感を与えます。大切な人との食事や会話のときに、口元や口臭を気にせずいられることは、思っている以上に大切です。
歯のクリーニングを「特別なときだけのケア」ではなく、定期的な習慣として取り入れることで、むし歯や歯周病の予防はもちろん、毎日をより快適に過ごしやすくなります。
帝塚山スマイルデザインクリニックでは、お一人おひとりのお口の状態に合わせて、無理のないペースでのクリーニングやメンテナンスをご提案しています。「一度きちんときれいにしたい」「これから定期的に通いたい」とお考えの方は、どうぞお気軽にご相談ください。
