鏡を見るたびに「前歯の色が気になる」「笑うと銀歯が見えてしまう」「昔入れた差し歯が不自然に見える」と感じていませんか。帝塚山スマイルデザインクリニックのセラミック治療は、見た目をただ白くするだけでなく、自然に馴染んでよく噛める、長く健康を保てる口元づくりを大切にしています。
当院では、噛み合わせから審美歯科まで考えた経験豊富な歯科医師が、お一人おひとりに合った治療方法をご提案します。歯の色や形だけでなく、骨格や唇の動き、笑ったときの表情とのバランスまで丁寧に分析し、「その方らしい、自然で上品な美しさ」を目指します。
まずは当院の症例をご覧ください
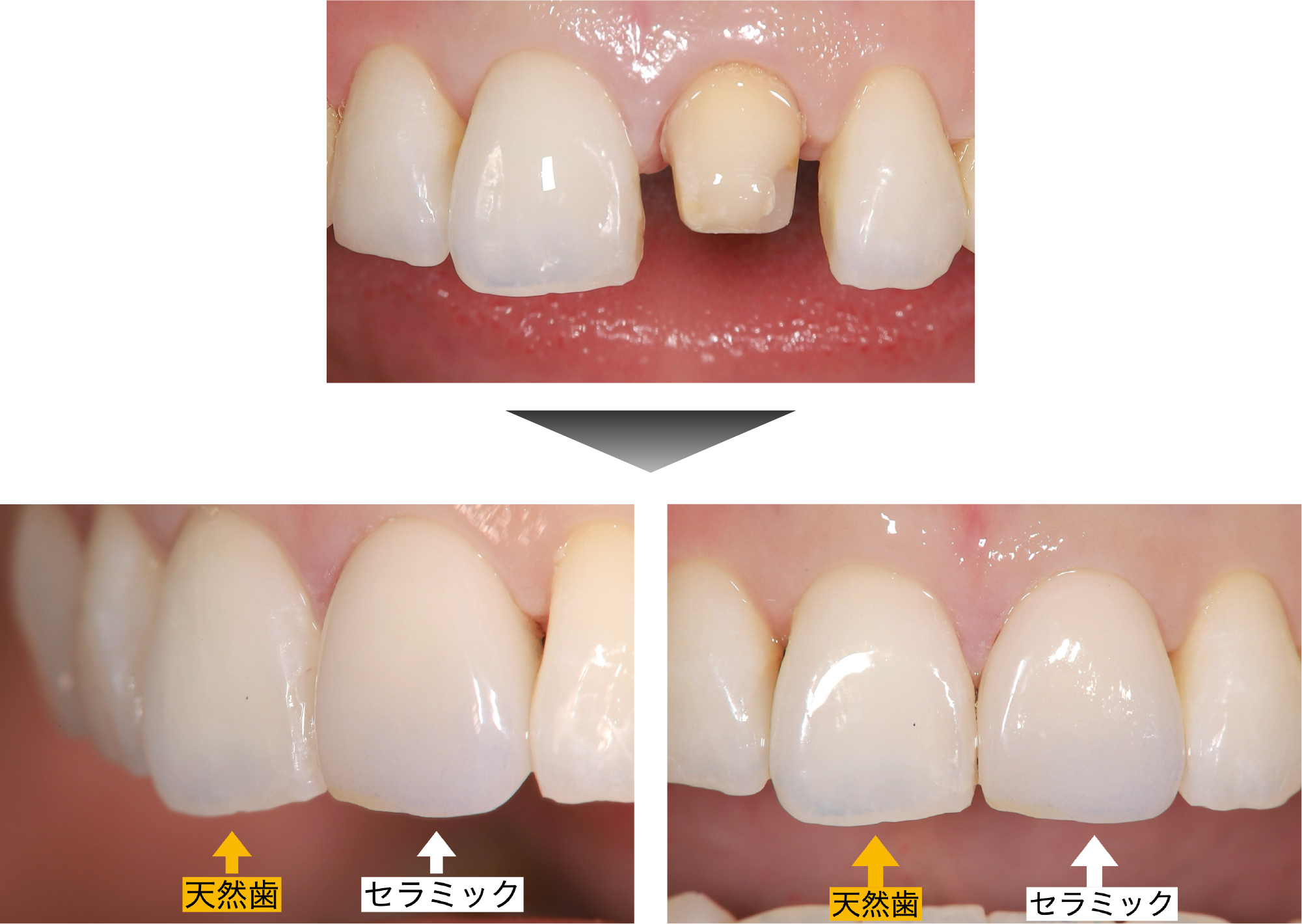
前歯1本を隣の透明感のある天然歯に合わせた審美治療

| 治療内容 | 前歯1本のセラミック治療 |
| 治療期間 | 3週間 |
| 治療費用 | セラミック1本 13万円 × 1本 |
| リスク | セラミックは硬いものを強く噛むとチッピング(かける)リスクがあります。 当院では内部にジルコニアのフレームを使用することによって、強度の向上を図っております。 |
前歯4本をセラミック治療で綺麗にした症例

| 治療内容 | 前歯4本のセラミック治療 |
| 治療期間 | 2ヶ月間 |
| 治療費用 | セラミック1本 13万円 × 4本 |
| リスク | セラミックは硬いものを強く噛むとチッピング(かける)リスクがあります。 当院では内部にジルコニアのフレームを使用することによって、強度の向上を図っております。 |
歯科恐怖症の方が全ての歯をセラミックで審美的かつ機能的に噛めるようにした症例



| 治療内容 | オールオン5インプラントセラミック治療(上顎) |
| 治療期間 | 1年半 |
| 治療費用 | 上顎のセラミック、インプラント5本全てを入れて280万円 |
| リスク | セラミックは硬いものを強く噛むとチッピング(かける)リスクがあります。 当院では内部にジルコニアのフレームを使用することによって、強度の向上を図っております。 |
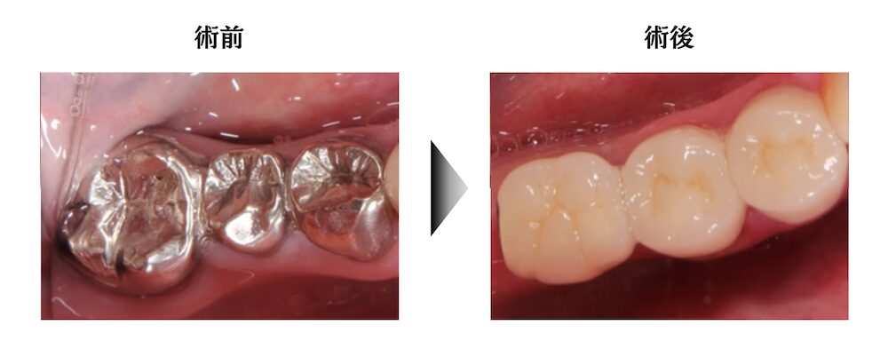
奥歯の銀歯3本をセラミックにした症例

| 治療内容 | 奥歯3本のセラミック治療 |
| 治療期間 | 1ヶ月間 |
| 治療費用 | セラミック1本 13万円 × 3本 |
| リスク | 奥歯で硬いものを噛むとチッピング(かける)可能性があります。 当院ではジルコニアを使用することによって強度の向上を図っております。 |
前歯2本をセラミックにした症例

| 治療内容 | 前歯2本のセラミック治療 |
| 治療期間 | 1.5ヶ月間 |
| 治療費用 | セラミック1本 13万円 × 2本 |
| リスク | セラミックは硬いものを強く噛むとチッピング(かける)リスクがあります。 当院では内部にジルコニアのフレームを使用することによって、強度の向上を図っております。 |
当院の審美歯科の特徴
① 天然歯と調和する
自然で美しいセラミック

私たちが大切にしているのは、「治療したと気づかれない」自然な仕上がりです。
肌や唇の色、周囲の歯の透明感や形に合わせて色調・形態を細かく調整し、笑ったときの見え方や横顔のバランスまでデザインします。
作り物ではない、「あなたの一部」として馴染む口元を目指しています。
② セラミック素材
特有のメリット

セラミックは「体へのやさしさ」と「清潔さ」を両立した素材です。金属を使わないため、歯ぐきが黒ずみにくく、負担をかけにくいのが特長です。
さらに、ステイン(着色)やプラーク(歯垢)が付きにくく、ツヤのある状態を保ちやすいため、審美性・機能性が長持ちします。
③思い切り口を開いて
笑える楽しさ

「写真を撮るときに口元を隠してしまう」「人前で笑うのが少し恥ずかしい」そんなお気持ちをお持ちではないでしょうか。
歯の色・形・歯並びが整うことで、口元を気にせず笑えるようになり、会話や写真撮影の場面がぐっと前向きで楽しいものに変わっていきます。
④美しい歯並びを実現する
インビザライン

審美歯科はセラミック治療だけではありません。矯正治療も、笑顔の印象を大きく変える大切な選択肢です。
当院では矯正治療で「歯並び」を美しく整え、セラミック治療で「歯1本1本をより美しく整える」併用治療も可能です。
矯正治療について詳しく知りたい方は、マウスピース矯正専門サイトもご覧ください。
当院で扱うセラミック素材について
オールセラミッククラウン
オールセラミッククラウンは、すべてがセラミックでできた被せ物です。天然の歯のような透明感とツヤがあり、光の透け方も自然なため、特に前歯など見た目が気になる部分に適しています。金属を一切使用せず、歯ぐきとのなじみも良いため、きちんとお手入れしていただくことで、きれいな状態を長く保ちやすい素材です。
ジルコニアセラミック(内部フレームによる強度アップ)
ジルコニアセラミックは、セラミックの内側に「ジルコニア」という、金属に近い強度をもつ素材をフレームとして使用した被せ物です。強度に優れているため、噛む力の強い奥歯や、ブリッジなど負担のかかりやすい部位にも安心して用いることができます。色も白くセラミックの内側に使用しても、金属のように透けて不自然になることはありません。
金属を使わないグラスファイバーコア
神経の治療を行った歯などの治療では、被せ物を支えるための「土台(コア)」が必要です。当院では、金属の代わりに「グラスファイバーコア」という白い土台を使用し、強い力がかかったときに歯根が割れるリスクを予防しています。金属と違って土台の色が透けないため、特に前歯のセラミック治療では、より自然で明るい仕上がりにつながります。
金属アレルギーが心配な方にとっても、できるだけ口腔内の金属を減らす選択肢のひとつとなります。
セラミックと保険素材の比較
保険診療で用いられる素材(レジンや金属)と比べると、セラミックには次のような特徴があります。
- 見た目:
セラミックは色や透明感を細かく調整でき、周囲の歯に合わせた自然な仕上がりが可能です。金属のような黒ずみや、プラスチック特有のくすみが出にくい素材です。 - 耐久性:
適切な噛み合わせ調整とメンテナンスを行うことで、長期的に安定した状態を保ちやすい素材です。一方で、強い力のかかり方によっては欠けることもあるため、定期的なチェックが欠かせません。 - 清掃性:
表面がなめらかでプラークが付きにくく、日々の歯みがきやプロのクリーニングで清潔な状態を保ちやすい傾向があります。 - 金属アレルギー:
金属を使用しないセラミック治療を選ぶことで、金属アレルギーや金属による歯ぐきの変色リスクを避けることができます。
このように、それぞれの素材には長所・短所があります。当院では、お口全体の状態やご希望、ライフスタイル、ご予算を踏まえたうえで、最適なセラミック素材をご提案いたします。
当院のセラミック治療が選ばれる理由
全国の歯科医師に講演やセミナーにて指導的立場で貢献

当院の院長は、全国の歯科医師を指導する立場として、日々教育にも力を注いでいます。特に「デジタル歯科学校」での指導を通じ、約5,000人の歯科関係者へ技術を伝えてきた実績は、「美しさを数値でコントロールする」当院の審美治療の裏付けとなっています。
審美歯科において、デジタル技術は欠かせません。マウスピース矯正やセラミック治療、インプラントにおいて、デジタルを活用することで、「顔全体のバランス」や「理想のスマイルライン」を0.1mm単位でシミュレーションすることが可能になります。
「教える立場だからこそ、誰よりも学び続け、最先端の技術を臨床に落とし込む」。
その姿勢から生まれる精密な診断と設計が、単なる見た目の改善を超えた、患者様お一人おひとりの未来を輝かせる「質の高い審美治療」を支えています。
マイクロスコープ・拡大鏡を用いた精密な治療
長く美しさを維持するためには、「見た目」だけでなく、土台となる歯や歯ぐきの状態、噛み合わせまで精密に整えることが不可欠です。当院では、肉眼では確認しにくい細かな部分までしっかり確認できるよう、マイクロスコープや拡大鏡を用いて治療を行っています。
被せ物を0,1mm単位で調整し、汚れが付きにくく、歯や歯ぐきを守りやすい形に仕上げます。見えない部分の仕上げが、セラミックの「見た目」と「持ち」に大きく関わるのです。

セラミック専門技工士との綿密な連携

セラミックの色合いや質感は、実際に被せ物を作製する歯科技工士の技術によっても大きく左右されます。当院では、セラミスト(セラミックを作製する専門の技工士)と呼ばれる技工士に依頼し、歯の色見本やお口の写真、場合によっては顔貌の写真まで共有しながら、細かなニュアンスをすり合わせています。
「ただ白い歯」ではなく、隣の歯と自然に馴染む半透明感や、年齢や雰囲気に合った色調を再現します。
トリートメントコーディネーターのカウンセリング
セラミック治療を検討される方の多くが、さまざまな不安や迷いを抱えておられます。当院では、歯科医師の説明とは別に、トリートメントコーディネーター(TC)がカウンセリングを担当し、じっくりお話を伺う時間をお取りしています。
治療内容や見積もりについてのご質問はもちろん、歯科医師には伝えにくいことなど、どのようなお悩みも遠慮なくご相談ください。

完全個室・プライバシーに配慮した診療環境

口元のお悩みは、他の方には聞かれたくない、見られたくないと感じる方も少なくありません。帝塚山スマイルデザインクリニックでは、カウンセリングルーム・診療室ともにプライバシーに配慮した完全個室で、周囲を気にせずご相談いただけます。
お悩みやご希望を安心してお話しいただけることが、より良いセラミック治療につながります。リラックスして通っていただけるよう、院内の雰囲気やスタッフの対応にも配慮しながら、丁寧にサポートしてまいります。
当院のセラミック治療の流れ

無料カウンセリング
あなたのお口のお悩みを伺います。どうなりたいか、治療でわからないことなど何でも聞いてください。治療内容や料金の説明等など細かに説明させて頂きます。

精密検査(データ収集)
セラミック治療を行うために必要な検査をします。お口の中のお写真やレントゲン撮影、頭や顎のセファロ分析、CT撮影、模型印象など、必要に応じてさまざまなデータを採らせて頂きます。

診断 → 治療スタート
検査の結果を説明します。治療内容、期間、費用、同意書等の了承後、セラミック治療を開始します。ここからが、スタートです。共に頑張りましょう。

通院
通院しながら、歯型を取ってセラミックの作成や仮歯の装着などを行います。セラミックの被せ物が完成したら、装着して様子を確認し、痛みや違和感の有無を伺いながら微調整を行います。

治療終了
問題がなければセラミックを完全に固定し、治療を終了します。お疲れ様でした。当院では定期的に噛み合わせやクリーニングを行いメンテナンスでお口の健康を保ちます。
セラミックの被せ物(差し歯)のお悩み相談Q&A
歯の被せ物(差し歯)でお悩みの大勢の方のお話を10年間以上お聞きしてきました。やはり皆さん同じような悩みを抱えていらっしゃることがわかりました。特に私は自費診療に特化していたため、審美的意識が高い患者様、そして歯科全体に対してかなり意識の高い人の治療を行なってきました。以下に皆様からよく聞くお悩みとその答えを載せておきますので皆様の悩みが少しでも解決できることを心から望んでおります。
差し歯とはその名の通り差し込む歯です。差し込む先は歯なので、差し歯をするにはまずは自分の歯が残っていることが前提となります。よって差し歯とインプラントの違いは、インプラントは差し込む対象となる歯が残っておらず骨に直接インプラントの本体を埋める治療となります。歯の根を失った場合は差し歯をすることができません。
差し歯は歯の根っこの上に土台を建て、その上に被せ物を被せます。よって、差し歯自体を被せ物やクラウンと言ったりもしますが、昔は差し歯といえば、上の被せ物を土台が一体型の歯冠継続歯というものがあり、それを差し歯と呼んでいました。
ブリッジは差し歯の一種であり『橋』のブリッジが語源で、両端に歯があればその間も歯を再現することが可能です。両端は普通の差し歯と同じ構造となります。すなわち歯の根っこに土台を建て差し歯にします。
インプラントは差し歯と違い、歯の根っこが無くなり、骨にチタンなどの金属を埋めて、それらが骨と癒着することでそれらを土台として歯を建てます。インプラントの上の部分は被せ物という場合がありますが、一般的にはインプラントのことは差し歯ということは稀です。ただ、ごくまれにインプラントも骨に差し込むので差し歯という患者様もいます。
入れ歯を差し歯ということは珍しく、入れ歯は人工の義歯を用いて歯を失った部分を補う治療です。
差し歯の周りが黒ずんで悩んでいる人は大勢います。皆さんの周りの人にも口元をよく見ると差し歯の周りが黒くなっている人がいませんか?
差し歯の金属の成分によって、錆びやすくイオン化して差し歯の周りに溶け出してしまうことがあります。それが黒くなって、俗にいうメタルタトゥー、黒い刺青のように差し歯の周りにできてしまうのです。それが差し歯の周りの黒ずみの原因です。
差し歯の周りに黒ずみができないようにするには、治療する際に金属を一切使わないことが重要です。差し歯の土台にはファイバーを編み込んだファイバーポストと呼ばれる金属をいっさい使用しない土台を使用すること。そして、上の差し歯(被せ物)には、オールセラミッククラウンを使用すると歯に金属を使用することなく差し歯の周りに黒ずみはできなくなります。
他に差し歯の周りが黒く見える原因として考えられるのが、歯自体が黒ずんでくる場合です。差し歯の金属が溶けだし歯を黒くする場合と神経を抜いただけで歯はどんどんと黒くなっていきます。
すでに差し歯の周りに黒ずみができてしまっている場合はどうしたら良いのでしょうか?
方法はいくつかあります。
まずは、すでにある差し歯の土台や被せ物の金属のものは早急に除去しましょう。
これ以上黒くならないことが重要です。また長期間の間、歯茎に金属のイオンが溶け出している場合には差し歯の材料を非金属に変えても黒ずんだままの場合もあります。そのときは、その部分の歯茎を除去するか、もしくは歯科用レーザーなどで除去する必要があります。
差し歯がどのぐらい持つのか。保険の差し歯と自費診療の差し歯に差はあり、保険治療の差し歯は7~10年ぐらい、自費診療の差し歯は10年~20年と言われています。なぜこれほど違うのか。いくつか理由があります。
まずは、差し歯の材質ですが保険の差し歯は金属の上にハイブリッドセラミックを接着させているものがほとんどであり、その部分が加水分解されプラークが付着しやすくなります。自費診療のオールセラミックはすべてがセラミックのため表面もツルッと研磨もされ加水分解もされにくいのでプラークがつきにくく虫歯にもなりにくいです。また差し歯の型採りの際も使用している材料が異なるため、自費診療の際の方採りのほうが精度も高くぴったりとした差し歯が出来上がってきます。
また人の気持ちとして、自費診療のほうが差し歯が高価なため、定期的にメンテナンスにしっかりと通う方が多いというのもあります。もちろん差し歯のクリーニングも重要ですが、差し歯は定期的な噛み合わせの調整が必要です。なぜなら、差し歯と天然の歯のすり減り度合いが異なるため、差し歯のほうが噛む力が過度に与えられるようになる場合もあります。そのような差し歯の微調整は差し歯の長
差し歯の費用が医院によって大きく異なるのは、主に次の3つの要素が関係しています。
1つ目は「作る人と設備の違い」です。差し歯は歯科医師ではなく歯科技工士が作製します。経験豊富な技工士が、高性能なファーネスやコンピューターを備えた技工所で、オールセラミックやメタルボンドを一人ひとりに合わせて丁寧に焼き上げるほど、色や透明感、強度に優れ、長持ちします。その分、技工料が高くなります。
2つ目は「使用する材料・機材と治療手順」です。根の治療や土台の設計、歯ぐきの調整、精密なシリコン印象や口腔内スキャナー、仮歯による噛み合わせ・歯ぐきの管理などにこだわるほど、材料費と時間、手間がかかります。
3つ目は「歯科医師の技術と経験」です。自費の差し歯治療を日常的に行い、学会や講習会で研鑽を続けている歯科医師は、色合わせや噛み合わせをより精密に仕上げられます。その技術料や勉強のコストも、治療費に反映されます。
差し歯が外れたり折れたりしたときは、どの場合も「できるだけ早く歯科医院へ」が大前提です。
1.外出先・仕事中に外れた場合
前歯が外れて見た目が気になるときは、まず元の位置にはめてみましょう。しっかりはまって落ちてこなければ、そのまま日中を過ごしても構いません。ただしグラグラしている場合、寝ている間に外れて飲み込む危険があるため、就寝時は外しておきましょう。
2.外れて痛みがある場合
神経を取っている歯でも、根が折れていたりすると痛みが出ることがあります。割れ方によっては歯を残せないこともあり、早期の診断が重要です。神経が生きている歯でかぶせ物だけ外れたときは、しみることがありますが、応急的にかぶせておき、できるだけ早く歯科医院で接着してもらいましょう。
3.差し歯を戻せない場合の保管方法
自分では元に戻せないときも、差し歯は絶対に捨てないでください。ティッシュに包んで袋やケースに入れ、そのまま持参しましょう。歯がむき出しのまま放置すると、内部に細菌や食べかすが入り込み、虫歯や抜歯の原因になります。自己判断で様子を見ず、早めの受診が大切です。
差し歯の治療で大切な、
①ご自身で気をつけること
②歯科医師選びで気をつけること
をお伝えします。
①ご自身で気をつけること
・歯磨きを丁寧に
やさしく強くこするのではなく、適切な力で磨くことで歯ぐきが引き締まり、精度の高い型採りにつながります。
・歯周病をきちんと治しておく
歯周病のまま差し歯を作ると歯が動き、セラミックに無理な力がかかって割れやすくなります。治療前に必ずチェック・治療を。
・歯間ブラシ・フロスを使う
差し歯まわりの汚れをしっかり落とし、歯ぐきの状態を整えます。使い方を指導してくれる医院だと安心です。
②歯科医師選びで気をつけること
・現状と治療内容をわかりやすく説明してくれるか
・講師・インストラクターとして他の歯科医師に教える立場か
・仮歯で噛み合わせや見た目を丁寧に調整しているか
・型採りを妥協せず、必要なら二重圧排や個歯トレーを使い、取り直しも厭わないか
良い差し歯には、ご自身のケアと、精密さにこだわる歯科医師の両方が欠かせません。
【差し歯にしないといけないことが多いケース】
1.ガタガタ歯並びを早く整えたい場合
矯正なら歯を削らずに治せますが、期間は約2年前後かかります。短期間で見た目を変えたい場合、歯を削ってセラミックの差し歯で整えることがあります。
2.芸能人のように真っ白な歯にしたい場合
ホワイトニングには白さの限界があり、「真っ白」レベルを望む場合は、歯を削ってセラミッククラウンを被せる必要があります。
3.残っている歯が少ない場合
虫歯や詰め物だらけで歯質が少ないと、部分的な詰め物では強度不足になります。残った歯を守るため、全体を覆う差し歯が選択されることが多くなります。
【当院で差し歯にしないことが多いケース】
1.すきっ歯の場合
削って差し歯にするのではなく、ダイレクトボンディング(ハイブリッドセラミック)で隙間を埋めたり、部分矯正で閉じる方法を優先します。
2.部分的な詰め物で色・形を整えられる場合
自費のダイレクトボンディングなら色数も多く透明感もあり、「どこを治したか分からない」仕上がりも可能です。経年的な変色という弱点はありますが、歯を大きく削らずに形態を整えられる有効な選択肢です。
当院のセラミック・審美歯科治療費用

| オールセラミッククラウン | 130,000円〜180,000円/1本 |
| メタルボンドクラウン | 130,000円/1本 |
| セラミックラミネートベニア | 140,000円/1本 |
| ダイレクトボンディング | 40,000円/1本 |
| ジルコニアインレー | 70,000円/1本 |
| 仮歯 | 7,000円/1本 |
| HJK | 50,000円/1本 |
| プロビジョナル(最終の仮歯) | 12,000円/1本 |
| 仮歯調整(修正) | 10,000円/1本 |
| ナイトガード | 40,000円 |
| ワックスアップ | 7,000円 |
自費診療となります。
上記は税別です。
2024年3月より料金改訂となりました。

各種クレジットカードでの分割払いも承っています。
また、お手続き簡単で金利の安いデンタルローンもご利用いただけます。
※詳細はお問い合わせください。
セラミック治療・審美歯科治療をご検討中の方へ

TaichiIwashita
セラミック治療や審美歯科は、「気になっているところをきれいにしたい」という前向きな気持ちの一方で、「本当に自分に合うのか」「治療したあと後悔しないだろうか」と不安を感じやすい分野でもあります。
帝塚山スマイルデザインクリニックでは、全国の歯科医師を指導する立場でもある院長が、セラミック・インプラント・矯正治療などを組み合わせながら、お一人おひとりに合った「現実的で、続けやすい」プランをご提案しています。治療のメリットだけでなく、リスクや限界、かかる期間や回数についても、事前にできるかぎり分かりやすくお伝えすることを大切にしています。
「まずは話だけ聞いてみたい」「自分の場合、どんな選択肢があるのか知りたい」という段階でも問題ありません。完全個室の落ち着いた空間で、トリートメントコーディネーターやスタッフが丁寧にお話を伺いますので、どうぞ安心してご相談ください。あなたが心から笑える口元づくりを、私たちと一緒に考えていきましょう。
