「歯医者が怖くて、どうしても行けない」「痛くても、ギリギリまで我慢してしまう」
当院には、そのような思いを抱えた「歯科恐怖症」の方が、たくさん来院されています。
怖さから長年受診を避けてこられ、「ここまで悪くしてしまって恥ずかしい」「怒られるのではないか」という不安や、申し訳なさのような感情を抱えておられます。
帝塚山スマイルデザインクリニックは、「まずは怖さや不安を一緒に整理すること」「歯科医師側の説明不足や配慮不足で傷ついた経験を、少しずつ上書きしていくこと」を大切にしている歯科医院です。

この方々も、「噛めなくなるまで」歯科医院に通うことを避けてこられました。
不安や恐怖、過去のつらい経験があったのだと思います。
しかし今では、
「ここで治療して本当によかった」
と、心から喜んでくださっています。
もし、かつての皆さんと同じように悩みを抱えている方がいらっしゃれば、
まずは一度、お話だけでもしてみませんか。
無理に治療を進めることはありません。
あなたのお気持ちに寄り添いながら、一緒に最善の方法を考えます。
「歯医者が怖くて行けない」
そのお気持ちに寄り添います

歯医者が怖くて嫌いな方は、少なくありません。特に、過去のつらい経験や強い痛みの記憶から「どうしても歯医者に行けない」という状態になってしまった方を、「歯科恐怖症」と言います。
そうした患者様のお話を伺っていると、単に「痛かったから」という理由だけでなく、
- 説明がほとんどないまま、突然治療が進んでしまった
- 何をされているのか分からないまま、強い痛みを感じた
- 聞きたいことがあっても、忙しそうで質問できなかった
- 気がついたら歯を抜かれていた
といった「心の傷」が、恐怖の根っこにあることが分かってきます。
「怖い」と感じること自体は、悪いことでも、弱いことの証でもありません。
怖いのに、長いあいだ一人で耐えてこられたという事実は、それだけで十分すぎるほど頑張ってこられた証だと、当院では考えています。
歯科恐怖症を克服して
笑顔を取り戻した症例のご紹介
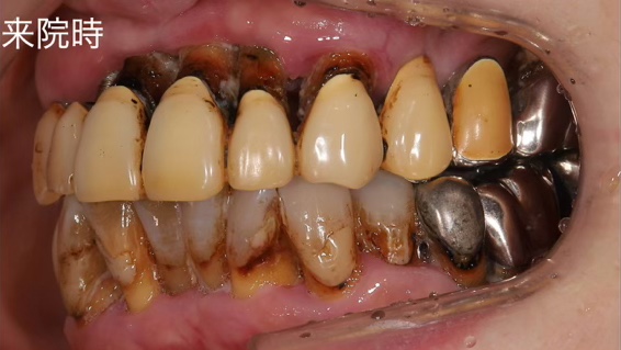
ここで一つ、当院に実際に通われた歯科恐怖症の患者様のケースをご紹介します。
※スクロールすると、少しインパクトの強いお口の中の画像が表示されるので、ご注意ください。
その方は、「歯が悪くなっているのはわかっていたけれど、歯医者が怖くて行けなかった」とお話しされました。
昔通っていた歯科医院での怖い治療体験がトラウマとなり、長い間受診を避けてこられた結果、上の歯は大きくグラグラし、噛むこともままならない状態にまで悪化していました。

それでも、「このままではいけない」と一大決心をされ、当院の門を叩かれました。
お口の中を拝見すると、かつて行われた治療の影響もあり、ほとんどの歯が保存困難な状況でした。
どこまでも患者様の想いに寄り添う治療
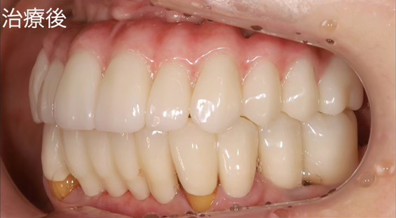
さらに、この患者様には「治療中でも入れ歯はどうしても使いたくない」という強いご希望がありました。通常であれば、治療の途中は仮の入れ歯で過ごしていただくことが多いのですが、お気持ちに応えるため、さまざまな技術を駆使し、治療期間中も入れ歯を使わずに過ごせるように計画しました。
治療は決して簡単な道のりではありませんでしたが、「なぜこの処置が必要なのか」「どのような手順で進めていくのか」「痛みや腫れが出る可能性と、その後の経過」をていねいにご説明しながら、一つひとつステップを踏んでいきました。

最終的に治療が完成したとき、患者様は「しっかり噛めるようになった」「自然に笑えるようになった」と、とても明るい表情で話してくださいました。
怖くてたまらなかった歯医者へのイメージが、「通ってよかった場所」へと変わり、歯科恐怖症で長年悩んでこられた日々から、一歩抜け出すきっかけになったケースです。
歯医者を嫌いになってしまう本当の理由
当院ではこれまで数多くの歯科恐怖症の患者様と向き合ってきました。さまざまなお話しを伺ううちに、患者様が歯医者を嫌い、怖いと思うようになった、本当の理由が見えてきました。
「怖い感情」は「わからない」から生まれる
- いま自分の歯がどれくらい悪いのか
- これから何をされるのか
- どのくらい痛いのか、どれくらい腫れるのか
- あと何回通わないといけないのか
といったことが分からないまま椅子に座ると、不安が一気に高まり、「怖い」「もう嫌だ」という感情に変わっていきます。
当院では、患者様が「わからない」状態をつくらず、一つ一つ丁寧に説明しながら進めることが、歯科恐怖症と向き合ううえでの最初の一歩だと考えています。
説明不足が生む「歯医者への不信感」
歯科恐怖症の方のお話を伺うと、「ほとんど説明がなかった」「何をされているのか分からなかった」という言葉がよく出てきます。
本来であれば、今のお口の状態・治療が必要な理由・治療の流れ・痛みや腫れの程度・期間や費用の目安などを、事前にきちんと説明する責任は歯科医師側にあります。
説明がないまま治療が始まると、患者様は「本当に必要な治療なのか」「ちゃんと自分のことを考えてくれているのか」と、不信感が少しずつ積み重なっていきます。
一度揺らいだ信頼は、簡単に戻りません。当院が「専門用語を避けて、分かりやすく、納得できるまで説明する」ことにこだわるのは、恐怖の大きな原因になっている「説明不足」を、根本から無くしたいという思いがあるからです。
痛みの記憶・トラウマとして残る治療体験
強い痛みの記憶やつらい治療体験が原因となっていることも多くあります。
麻酔が十分に効いていない状態で削られてしまったり、痛みを訴えても「あと少しだから」と我慢させられたり。その体験は「もう二度とあんな思いはしたくない」というトラウマとして心に刻み込まれます。
当院では、痛みそのものをできるだけ少なくするために、さまざまな工夫をしています。もしも痛みが生じる場合も、事前に「どんな痛みが、どれくらい続くのか」必ず説明いたします。
「歯を抜かれた」と感じてしまう背景
歯科恐怖症の方が過去の経験を語るとき、 「歯を抜いた」ではなく、「歯を抜かれた」という表現をされることがあります。
- なぜ抜かなければならなかったのか分からない
- 自分の気持ちや選択が尊重されなかった
- 気づいたときにはもう歯がなくなっていた
- 歯を抜かない選択があったのではと今でも後悔している
「歯を抜かれた」という表現には、歯医者の説明不足からくる、納得できないまま歯を失った感覚が込められています。
きちんと説明を受けて、理解し、納得したうえで選んだ「歯を抜く」と、よく分からないまま終わってしまった「歯を抜かれた」では、心に残る印象がまったく違います。
当院では、「抜く・残す」という大きな判断こそ、患者様の価値観や希望を踏まえて、一緒に決めていくべきものだと考えています。その積み重ねが、「もう二度と行きたくない歯医者」ではなく、「ここなら話を聞いてもらえる歯科医院」という信頼につながっていくと信じています。
当院が何より大切にしている
説明とカウンセリング
ここまでお読みいただいて、「結局、また怖い思いをするのでは…」と感じておられる方もいらっしゃると思います。
帝塚山スマイルデザインクリニックが、歯科恐怖症の方と向き合ううえで何より大切にしているのは、治療より先に「対話」と「理解」を置くことです。

当院では、いきなり治療の話に入るのではなく、まずはお気持ちの部分から丁寧にお伺いします。
そのうえで、現在のお口の状態を写真やレントゲン、CTなどで確認し、専門用語をできるだけ使わずにご説明します。初診時のカウンセリングでは、「まずは自分の状態と選択肢を知っていただくこと」をゴールにしています。
「歯医者さん」という存在が怖い方には
トリートメントコーディネーターが対応します

「そもそも歯医者さんが怖い」「ドクターには話しづらいことがある」といった方にも気軽に相談していただけるよう、当院にはトリートメントコーディネーターが常駐しています。
「怖くなったらどうしたらいいか」「どこまでなら自分でも頑張れそうか」といった気持ちの面も含めて、一緒に整理していく存在です。
診療室はすべて完全個室のプライベート空間で、他の患者様の目線や音が気になりにくい環境を整えています。治療の前後の説明や会計も、原則として個室内で完結するため、落ち着いてお話しいただけます。
歯科恐怖症で歯がボロボロになってしまった方へ

TaichiIwashita
当院にお越しになる歯科恐怖症の患者様の中には、長年歯科医院から足が遠のいてしまい、ほとんど噛めない状態になってから勇気を振り絞って来院された方も少なくありません。
「遅すぎるからダメ」ということはないのです。
先ほどご紹介した症例のように、重度の歯科恐怖症からスタートしても、治療を通じて「噛める」「笑える」状態を取り戻していかれた方が、大勢いらっしゃいます。
私たちが見たいのは、「ここまで放置してしまった」という過去ではなく、「ここからどう良くしていけるか」という未来です。
あなたのペースで構いません。まずは、お話を聞かせていただくところから始めましょう。
