鏡を見るたびに、前歯のすき間や形、白濁などが気になるものの、「健康な歯を大きく削るのは避けたい」とお悩みではありませんか。
ダイレクトボンディングは、歯をほとんど削らずにレジン(樹脂)を直接盛り足し、色や透明感を丁寧に重ねることで、前歯のすき間や欠け、色ムラなどを自然に整える治療法です。
帝塚山スマイルデザインクリニックでは、審美治療に力を入れ、マイクロスコープなどを用いた精密なダイレクトボンディングを行っています。
まずは当院の症例をご覧ください
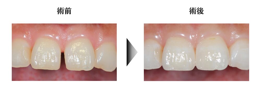
前歯のすきっ歯を治療した症例

| 治療内容 | 前歯の隙間の閉鎖 |
| 治療期間 | 治療回数 1回 |
| 治療費用 | ダイレクトボンディング1本4万円 × 2本 |
| リスク | 噛み合わせによってできない場合があります。 |
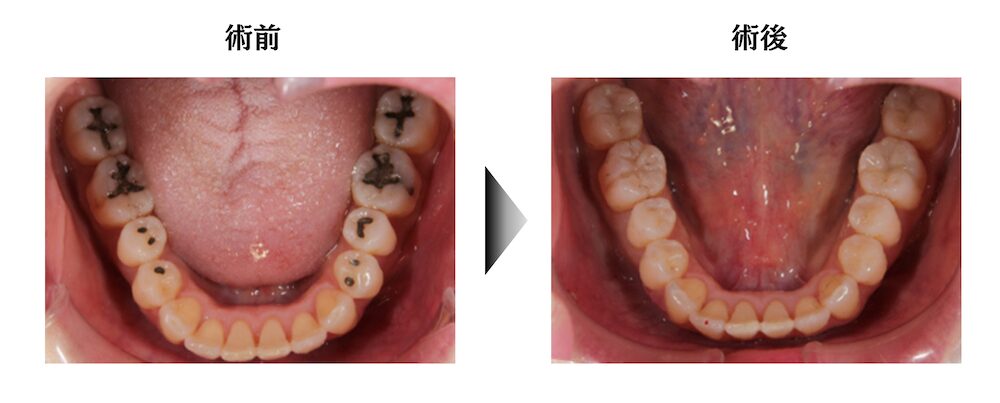
奥歯8本の金属の詰め物をやり直した症例

| 治療内容 | 奥歯のアマルガム(金属)の詰め直し |
| 治療期間 | 治療回数 2回 |
| 治療費用 | ダイレクトボンディング1本4万円 × 8本 |
| リスク | 継時的変色がある場合があります。 |
奥歯1本の銀歯をやり直した症例

| 治療内容 | 奥歯の銀歯のやり直し |
| 治療期間 | 治療回数 1回 |
| 治療費用 | ダイレクトボンディング1本4万円 × 1本 |
| リスク | 継時的変色がある場合があります。 |
ダイレクトボンディングで改善しやすいお悩み
- 前歯のすきっ歯・すき間が気になる方
- 歯の形・長さ・大きさのバランスが気になる方
- 欠けた前歯・ヒビ・すり減りをきれいに整えたい方
- 白濁(ホワイトスポット)や色ムラを目立ちにくくしたい方
- 矯正後のわずかな段差・すき間を整えたい方
ダイレクトボンディングのメリット・デメリット
メリット
- 歯をほとんど削らずに見た目を整えられる
- 1日で仕上がるスピーディーな治療
- セラミック治療と比べて費用負担が少ない
- 途中で形や長さを微調整しやすい
- 元の歯を残したまま将来の治療の選択肢を広げられる
デメリット
- 時間経過による変色・ツヤの低下について
- 欠け・すり減りが起こる可能性
- 噛み合わせ・歯並びによっては適応外
当院のダイレクトボンディングが選ばれる理由
全国の歯科医師に講演やセミナーにて指導的立場で貢献

ダイレクトボンディングは、すきっ歯をただ埋めたり、虫歯を詰める「だけ」の処置ではありません。前歯の幅や長さのバランス、笑った時の見え方など、口元全体の調和を理解したうえで行う必要があります。
当院では、「デジタル歯科学校」での指導を通じ、約5,000人の歯科医師・歯科関係者に精密な治療技術を教えている院長が、すべての症例を直接担当いたします。
「どこをどのように盛り足すと理想に近づくのか」「すき間を詰めすぎて歯が大きく見えないようにするにはどうするか」など、指導的立場として磨き上げた知見に基づき、お一人おひとりに適したダイレクトボンディングの計画をご提案いたします。
歯の色・透明感を重ねて再現するレイヤリングテクニック
ダイレクトボンディングでは、1色の材料をただ盛るのではなく、歯の内部に見られるわずかな色の違いや透明感を、何層にも分けて再現していきます。表面に見える白さだけでなく、内側のやわらかな黄みや、先端の半透明な部分まで計算しながらレジンを重ねることで、周囲の歯となじむ自然な仕上がりを目指します。
照明の当たり方や口を開けたときの見え方まで意識して調整することで、「詰め物」ではなく「もともとの歯」のような印象に近づけていきます。

将来のセラミック治療・矯正治療も見据えた「削らない」設計

今のお悩みを解決するだけでなく、将来セラミック治療や矯正治療を行う可能性も見据えながら、できる限り歯を削らない設計を心がけています。
必要最小限の処理にとどめ、レジンを「足す」ことを基本とすることで、歯のエナメル質を多く残し、後戻りや治療のやり直しにも対応しやすい状態を保ちます。次の一手を選びやすくしておくことも、長い目で見たときの口元の健康と美しさにつながると考えています。
噛み合わせまで考えた、長持ちする形態設計
見た目だけを優先してレジンを盛りすぎてしまうと、噛んだときに過剰な負担がかかり、欠けやすくなる場合があります。当院では、上下の歯の当たり方や、食事のときの動き方まで確認しながら、適切な厚みと形態に仕上げていきます。
噛み合わせに調和したデザインにすることで、日常生活で無理なく使いやすく、ダイレクトボンディングをできるだけ長く良い状態で保てるよう配慮しています。

完全個室・プライバシーに配慮した診療環境

口元のお悩みは、他の方には聞かれたくない、見られたくないと感じる方も少なくありません。帝塚山スマイルデザインクリニックでは、カウンセリングルーム・診療室ともにプライバシーに配慮した完全個室で、周囲を気にせずご相談いただけます。
お悩みやご希望を安心してお話しいただけることが、より良いセラミック治療につながります。リラックスして通っていただけるよう、院内の雰囲気やスタッフの対応にも配慮しながら、丁寧にサポートしてまいります。
当院のダイレクトボンディング治療費用

| 前歯 | 40,000円/1本 |
| 奥歯 | 40,000円/1本 |
自費診療となります。
上記は税別です。
2024年3月より料金改訂となりました。

各種クレジットカードでの分割払いも承っています。
また、お手続き簡単で金利の安いデンタルローンもご利用いただけます。
※詳細はお問い合わせください。
ダイレクトボンディングで、削らず「自分らしい笑顔」を

TaichiIwashita
「前歯のすき間が気になる」「欠けたところをきれいにしたい」「白濁や色ムラを目立たなくしたい」でも、健康な歯を大きく削るのには抵抗がある、という方は少なくありません。ダイレクトボンディングは、そうしたお悩みに対して、歯をできるだけ削らずに見た目を整えられる選択肢のひとつです。
当院では、「デジタル歯科学校」での指導を通じ、全国の歯科医師へ精密治療の知見を共有している院長が、歯の色・形・透明感、歯ぐきや唇とのバランス、噛み合わせまで確認したうえで、ダイレクトボンディングが本当に適しているかを丁寧に見極めます。必要に応じて、セラミック治療や矯正治療など、他の方法も含めてご提案し、「今」と「将来」の両方を見据えた計画を一緒に考えてまいります。
まずは一度、お気軽にご相談ください。小さなお悩みでもかまいません。カウンセリングの場で、現在の状態や治療の選択肢を分かりやすくご説明し、納得していただいたうえで治療へ進んでいただけるよう心がけています。
