―治療の不快を減らし、未来の笑顔をデザインする―

歯科医院に行くとき、多くの方が不安に思われるのは「痛み」や「通院の回数」、そして「本当に自分にとって理想の仕上がりになるのか」という『不安』ではないでしょうか。
帝塚山スマイルデザインクリニックでは、こうした患者様の『負の感情』を少しでも和らげるために、歯科医師としての『匠の技術』と『最新のデジタル技術』を組み合わせたデジタル歯科治療に取り組んでいます。このデジタル歯科治療は患者様の痛みや来院回数、治療時間を大幅に短縮してくれる技術です。
当院のデジタル歯科治療コンセプト
帝塚山スマイルデザインクリニックのデジタル歯科治療は、単に「最新機器を導入している」という意味ではありません。
私たちが大切にしているのは、治療にともなう不快感や負担をできるだけ小さくしながら、理想とする口元・笑顔に近づいていくことです。
そのために、歯科医師としての技術力と、口腔内スキャナーやCT、シミュレーションソフト、AIによる診断支援といったデジタル技術を組み合わせ、治療前から「自分がどう変わるのか」をイメージしやすい環境を整えています。

治療の不快を減らす「技術力×最新のデジタル技術」
「治療の不快を減らす」ことは、当院のデジタル歯科治療におけるもっとも重要なテーマです。
どれだけ設備が整っていても、それを使いこなす歯科医師の診断力・技術力が伴っていなければ、患者様に還元されるメリットは限られてしまいます。逆に、技術力が高くとも、診査診断やシミュレーションがアナログ中心のままでは、負担の少ない治療計画づくりや精密な仕上がりに届きにくい場合もあります。
当院では、院長が長年の臨床経験で培った「診断力・手技の正確さ(技術力)」と、CT・口腔内スキャナー・シミュレーションソフト・AI診断などの「最新デジタル技術」。
この2つを掛け合わせることで、
- 痛みの軽減
- 治療そのものの精度向上
- 来院回数の削減
- 粘土のような不快な型採りの防止
- 治療前にどのようになるかの事前シミュレーション
など様々な患者様のメリットにつなげています。
どれだけうまくても「侵襲ゼロ」にはならないからこそ
どれだけ治療がうまくとも、歯科治療は少なからず「侵襲」や「負担」を伴います。
歯を削る、歯ぐきを切開する、インプラントを埋入するといった処置は、身体にとって「まったく何もない」というわけにはいきません。
だからこそ当院では、必要以上に歯を削らない、無駄な外科処置を避ける、適切な治療タイミングや手順を見極める、といった「侵襲そのものを最小限に抑える工夫」に加え、デジタル技術を活用して、
- 事前の診査・診断をより精密にする
- 治療計画の段階でリスクや負担をできるだけ洗い出す
- 予測されるゴールを共有し、納得のうえで治療を進める
という点を重視しています。
デジタル歯科治療は、侵襲をゼロにする魔法の道具ではありません。しかし、侵襲を「見える化」し、できるかぎり少なく抑えるための強力なパートナーになり得ます。
サージカルガイドによる痛みの軽減
当院では、ほぼすべてのインプラント手術にサージカルガイドを使用しています。
サージカルガイドとは、事前に綿密なデジタルシミュレーションを行い、インプラントを入れる位置・角度・深さを正確に導くための装置です。
このガイドを使用することで、症例によっては歯ぐきをメスで切らずに行う「フラップレス手術」が可能になります。
数ミリ程度の小さな穴をあけるだけでインプラントを埋入できるため、身体への負担を最小限に抑えることができます。

その結果、
- 手術時間の大幅な短縮
- 術後の腫れや痛みの軽減
- 痛み止めをほとんど、あるいは飲まずに済む方もいる
といったメリットにつながります。
「できるだけ痛みを少なく、安全に」
当院ではそのための工夫として、サージカルガイドを積極的に活用しています。

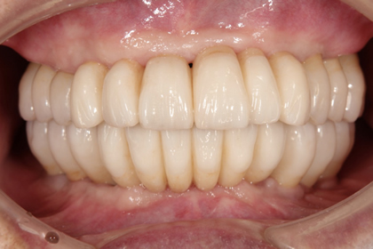
審美性と機能性を両立するスマイルデザイン
デジタル歯科治療の目的は、「きれいに見える歯」を作ることだけではありません。しっかり噛める、長く保てるといった機能面と、笑ったとき・話したときの見た目の美しさの両方が整ってこそ、患者様にとって本当に価値のある治療になると考えています。
当院では、口元やお顔の写真、噛み合わせや骨格の情報など、さまざまなデータをもとに、
- 歯の形・大きさ・色
- 歯と唇の見え方のバランス
- 横顔・笑顔の印象
- 発音や噛み合わせへの影響
などを総合的に検討しながら、「スマイルデザイン」を行っています。この過程で、デジタルシミュレーションは非常に有用です。治療前の段階で、仕上がりのイメージを患者様と共有し、必要に応じて何度かデザインを調整していくことで「想像していたのと違った」というギャップを減らし、審美性だけに偏らず機能面も考慮した計画にすることが可能になります。
デジタルの力で「患者様の未来の笑顔」をイメージしつつ、歯科医師としての経験と感性で細部を整えていく。そのプロセスこそが、当院のデジタル歯科治療コンセプトの中核にあるスマイルデザインの考え方です。
デジタル歯科治療で実現できる3つのメリット
①痛みや来院回数の最小化
歯科治療に対する不安の多くは、「痛み」と「通院の大変さ」に集約されます。当院では、デジタル技術を活用することで、この2つの負担をできるだけ少なくすることを目指しています。
- 必要な処置の範囲を的確に見極める
- 「削りすぎ」「切りすぎ」を防ぐ
- 治療計画を効率化し、無駄な処置や通院を減らす
といったことが可能になります。結果として、侵襲の少ない治療計画を立てやすくなり、術後の痛みや腫れのリスクも抑えられます。
②不快な型取りを口腔内スキャナーでスムーズに
詰め物・被せ物・インプラント・マウスピース矯正など、多くの治療で必要になるのが「型取り」です。
従来の方法(粘土のような材料をお口いっぱいに入れる)
- 「オエッとなりやすい」
- 息苦しさや圧迫感がつらい
- 型取りが長く感じてとにかく不快
当院の方法(口腔内スキャナーによるデジタル印象)
- 粘土のような型取り材を口いっぱいに入れる必要がない
- 嘔吐反射が強い方でも比較的ラクに型取りができる
- 採得したデータをその場で確認し、不足があれば取り直せる
「患者様の不快をできるだけ減らす」ために、口腔内スキャナーを積極的に活用しています。
③AIを活用した高精度な診査・診断
レントゲンやCTから得られた画像情報を、AIを活用して解析することで、人間の目だけでは見落としがちな細かな変化やリスクの兆候を、より早い段階で把握できる可能性が広がっています。
- 骨の状態や神経の位置をより立体的に把握する
- インプラントの埋入位置や角度を事前にシミュレーションする
- 被せ物・詰め物の適合性や余白を細かくチェックする
当院では、AIを補助的なツールとして活用しながら、診査・診断の精度向上に役立てています。

たとえば、これらの画像情報を多角的に、かつ同時に分析するために活用しているのが「WEBCEPH(ウェブセフ)」です。

WEBCEPH(ウェブセフ)とは、セファロで撮影した情報をAIが分析してくれるソフトで、複数のデータをもとに顔全体のバランスを把握することに役立ちます。正面・横顔のバランスを数値として整理し、治療方針の検討やゴール設定の精度を高めるための補助情報として活用できます。

当院では、このWEBCEPH(ウェブセフ)を用いて多角的な診断を行い、事前に理想とするゴールの方向性を整理したうえで矯正治療を進められるようにしています。
ただし、AIの診断結果をそのまま鵜呑みにするのではなく、最終的な判断はあくまで歯科医師が行います。デジタルの客観的データと、歯科医師の臨床経験に基づく判断を組み合わせることで、「より質の高い治療を、できるだけ安心して受けていただく」という当院の治療理念を実現しています。
スマイルデザインによるデジタルシミュレーション

当院のデジタル歯科治療の中核となるのが、スマイルデザインを用いたデジタルシミュレーションです。
- 「治療を受けたら、自分の歯並びはどう変わるのか」
- 「歯並びだけでなく口元や顔貌まで考慮して欲しい」
- 「本当に似合う仕上がりになるのか事前に知っておきたい」
こうした不安に対して、言葉だけでなく見える形でご提示するための仕組みが、このシミュレーションです。
治療前に「未来の口元」を可視化するシステム
デジタルシミュレーションでは、まず現在のお顔・口元の写真や歯並びの情報をもとに、コンピューター上で「治療後のイメージ」を作成します。
- 前歯の形や長さを少し整えるとどう見えるか
- 歯の色調を明るくしたときの印象
- 歯列の傾きや位置が変わると、笑ったときの口元がどう変わるか
上記を一例として、さまざまなことを画面上で比較しながら確認できます。
写真撮影と専用ソフトを用いた分析の流れ
デジタルシミュレーションは、おおまかに次のような流れで進めていきます。
①お顔・口元の写真撮影
正面や横顔、笑った状態など、いくつかのパターンで撮影を行います。普段どおりの自然な表情を大切にしながら、診断に必要な情報を丁寧に記録します。
②歯並び・噛み合わせのデータ取得
口腔内スキャナーや、レントゲン・CTなどから、歯や骨格の情報を取得します。これにより、「見た目」だけでなく「機能面」も含めて評価することができます。
③専用ソフト上でのスマイルデザイン
撮影した写真をもとに、歯の輪郭や唇のライン、顔貌とのバランスなどを解析し、「歯の形・大きさの調整」「歯列の位置・傾きのイメージ」「歯の色調やトーン」といった項目を検討します。
④シミュレーション画像の確認・調整
作成したイメージを患者様と一緒に確認し、気になる点や「もう少しこうしたい」というご希望を伺いながら、必要に応じて微調整を行います。
こういったプロセスを繰り返し、現在の状態と治療後のイメージを患者様とドクターが一緒に見比べながら、治療の方向性を相談できることが、当院のデジタルシミュレーションの大きな特徴です。
顔全体のバランスから考えるスマイルデザイン
スマイルデザインでは、歯だけをアップで見て判断するのではなく、「お顔全体の中でその歯がどう見えるか」を重視します。
- 顔の中心線と前歯の位置関係
- 歯と唇のバランス(見える歯の量・歯ぐきの見え方)
- 笑ったときの口角の位置や表情の印象
- 横顔から見たときの口元の突出感やライン
などを総合的にチェックしながら、「その方らしい自然な美しさ」を目指します。単に白く・まっすぐに整えるだけでは、ときに不自然な印象になってしまうこともあります。当院では、日本歯科審美学会認定医としての専門的な視点から、「お顔立ちや雰囲気に合った歯の形・長さ」「年齢やライフスタイルにふさわしい自然な色味」「長期的な噛み合わせや機能性への配慮」といった点を踏まえたスマイルデザインを行っています。
当院が導入している主なデジタル機器
デジタル歯科治療に欠かせない口腔内スキャナー
昨今のデジタル歯科治療において口腔内スキャナーは欠かせません。口腔内スキャナーで撮影したデータは、その他のCTデータや写真データや動画データとマッチングさせることによって様々な用途に使用できます。

当院では5台以上の口腔内スキャナーを有し、すべてのチェアーに装備し患者様の苦痛を和らげるための最新機器を取り揃えております。
当院ではワイヤー矯正治療はほとんど行いません。
矯正治療の主流となりつつあるマウスピース矯正を用いることによって、患者様の痛みや来院回数を大幅に減らすことが可能です。通院は4〜6ヶ月ごとなので、遠方の患者様もこられています。
当院は特に大人の矯正を主軸としてマウスピース矯正を行なっているので、被せ物や根の治療、時にはインプラントにも対応した矯正治療を行なっております。
1つのクリニックで全て治療を完成することができる非常に稀有なクリニックです。


歯科用コーンビームCT

当院は、最新鋭の歯科用コーンビームCTを備えております。オルソパントモグラフはもちろんのこと、セファロ分析も可能です。
コンピュータガイデットシステム



インプラント治療では、あごの骨の厚みや高さ、神経・血管の位置を正確に把握することが欠かせません。当院では歯科用CTで得た三次元データをもとに、コンピュータガイデットシステムを用いてインプラントの埋入を行っています。
この仕組みによって以下のようなメリットが生まれます。
- 治療計画と位置・角度ともに誤差なくインプラントを埋入できる
- 歯茎をほとんど切開しないため、痛みを最小限に抑えられる
- インプラントを埋入した当日に仮歯が入るケースも多い
難易度の高いケースや、安全性をより高めたいケースで、とくに力を発揮する方法です。
デジタル歯科治療に必須の3Dプリンター
『Form3B』

歯科専用の3Dプリンターであり、当院では精密な増築が可能なForm3Bを導入しております。
歯ぎしりや食いしばりを防止するナイトガードなどを口腔内スキャナーのデータから作製することができます。
デジタルスマイルデザインで
術後のお口をシミュレーション

当院は、デジタルスマイルデザインを導入しております。治療が終了したあと口元がどのようになるのか気になりますよね。そのような問題を解決するために前歯だけですが、あなたの笑顔に最終的な歯をシミュレーションで入れることが可能です。クリスチャンコーチマンが推奨するこのソフトを使用すればあなたの治療後の笑顔を見ることができます。
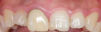
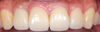
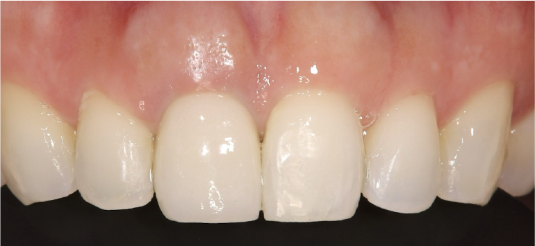
補綴治療へのデジタル応用

術前

術後
デジタル機器は、インプラントやマウスピース矯正だけでなく、セラミック治療などの補綴治療にも活用されています。補綴治療においては、スキャナーで得たデータをもとに、噛み合わせや周囲の歯とのバランスを確認しながら被せ物を設計します。
こうしたデジタル応用により、「きれいに見えること」と「きちんと機能すること」の両方を大切にしながら、長く快適に使っていただける治療を目指しています。
治療内容:前歯4本をセラミック治療で綺麗にした症例
治療期間:2ヶ月
治療費用:セラミック1本15万円 ×4本
リスク:セラミックは硬いものを強く噛むとチッピング(かける)リスクがあります。
当院では内部にジルコニアのフレームを使用することによって、強度の向上を図っております。

術前

術後

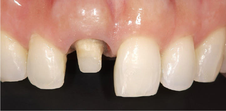
治療内容:前歯1本をセラミック治療で綺麗にした症例
治療期間:1ヶ月
治療費用:セラミック1本15万円
リスク:セラミックは硬いものを強く噛むとチッピング(かける)リスクがあります。
当院では内部にジルコニアのフレームを使用することによって、強度の向上を図っております。
マイクロスコープによる拡大治療

患者様の歯を守るために繊細で緻密な治療を行うには拡大視野は必須です。マイクロスコープは肉眼の24倍ほどの拡大視野で見ることができ、正確でより精度の高い歯科治療が可能となります。
巨大スクリーン(モニター)による説明

モニター4枚を一枚のスクリーンのように映し出し、およそ100インチもの大画面で説明を行います。イメージは黒板の前でわかりやすく説明する風景です。当院では患者様によりわかりやすく、丁寧に説明できるように大きく見やすくしております。
最新のポーラスホワイトニングシステム

ポーラスホワイトニングは強力なホワイトニング効果を維持しながら、有害な紫外線や過度な発熱を抑えた、安全な設計のもとに作られており従来機のビヨンドホワイトニングシステムと合わせると国内約4,000件のクリニックに導入されています。
ポーラスホワイトニングとは日本人の環境、歯に合った日本人の為に開発された日本で一番導入されているホワイトニングシステムです。
デジタルとアナログの融合で治療の質を高める

デジタル歯科治療というと、「コンピューターがすべてを決めてくれる」といったイメージをお持ちの方もいらっしゃるかもしれません。しかし実際には、デジタル技術だけで完結する治療はありません。
大切なのは、「デジタルで得られた客観的な情報」を土台にしながら、歯科医師や技工士の経験・感性といった「アナログな部分で最終的な仕上げを行うこと」です。
デジタルで「見える化」、アナログで「仕上げる」
CTや口腔内スキャナー、シミュレーションソフトなどのデジタル機器は、歯や骨、歯ぐきの状態を高い精度で可視化してくれます。現在の状況や治療による変化を数値や画像として確認できるため、診査・診断や治療計画の段階では、非常に心強いパートナーとなります。
一方で、最終的な噛み心地や、わずかな形の違いによる印象の変化は、デジタルだけでは評価しきれない部分も多くあります。たとえば、実際にお口の中に被せ物を装着したときの舌ざわりや、鏡で見たときの「なんとなくしっくりくる・こない」といった感覚的な部分は、最終調整の場で初めてわかることも少なくありません。
そのため当院では、デジタルで治療の方向性や大枠のデザインを「見える化」したうえで、最終段階では歯科医師が実際の口腔内の状態を確認しながら、かみ合わせや形態の微調整を行っています。細かな研磨や削合、わずかなカーブの付け方などは、アナログな作業だからこそ生まれる仕上がりの差であり、そこに当院らしさが表れると考えています。
全国の歯科医師にデジタル歯科治療を指導する立場として、歯科界に貢献
私は、まだ日本では十分に普及しているとは言えないデジタル歯科治療の技術を、全国の歯科医師へ伝える立場として活動しています。
デジタル歯科学校を開校し、毎月のセミナーでは講師として、
「より痛みが少なく」「治療時間が短く」「通院回数を減らせる」
そんな患者様にとって本当に価値のある治療を実現するための実践的な指導を行っています。



最後に:デジタルの限界と、変わらない「心」の診療

TaichiIwashita
デジタル技術とは、本来、人が見て触れているさまざまなものを、コンピューターの中で扱いやすいように「数字の情報」に置き換える仕組みです。レントゲン画像も、音声も、文字も、すべてが整理されたデータとして管理されることで、精密な分析やシミュレーションができるようになりました。
一方で、歯科医療は「生きたからだ」を治療する分野です。どれほどデジタルが進歩しても、まだ追いついていない部分や、どうしても数字だけでは測りきれない領域がたくさん残されています。だからこそ、デジタルの得意なことと、苦手なことを見極めたうえで使いこなすことが非常に重要になります。現時点でデジタルが対応しきれない部分については、これまで培われてきたアナログな技術や職人の感覚を生かして補っていく必要があるのです。
そして、何よりも忘れてはならないのが、「心」の部分です。
患者様の悩みに耳を傾け、不安や心配を受け止め、どうすればその方がより幸せに、笑顔で日常を過ごせるのかを一緒に考える。
この役割は、どれほど技術が進歩しても、デジタルでは代わることができません。何百年、何千年先であっても、人の心に寄り添うことは、人にしかできない営みであり続けるはずです。
患者様の不安を少しずつ和らげ、その方らしい笑顔と生活を取り戻していただくこと。それは、歯科医師をはじめとする医療に携わる「人」にしか担えない、大切な使命だと考えています。
「あなたの未来と幸せをデザインする歯科医院」でありたい。帝塚山スマイルデザインクリニックは、デジタルとアナログのそれぞれの良さを活かしながら、その思いを胸に、皆様のご来院をお待ちしております。
