
当院の金属アレルギー外来では、歯科金属を除去してアレルギーを改善する、歯科金属を一切使わないノンメタル治療(メタルフリー治療)に取り組んでおります。
こんなお悩みはありませんか?

- 歯の治療を受けてから、体調不良が気になる
- 口内炎になりやすく、なかなか治らない
- 歯茎が黒くなったように感じる
- かぶれや肌荒れがなかなか治らない
- 銀歯やかぶせ物のまわりだけ歯茎が腫れる
- 口の中がピリピリ・ヒリヒリすることがある
- 舌が荒れやすく、ひりつきや痛みが続く
- 指輪やピアス、ネックレス、時計などでかぶれたことがある
- 原因がはっきりしない頭痛・肩こり・倦怠感が続いている
該当する項目がある方は、歯科金属アレルギーかもしれません。
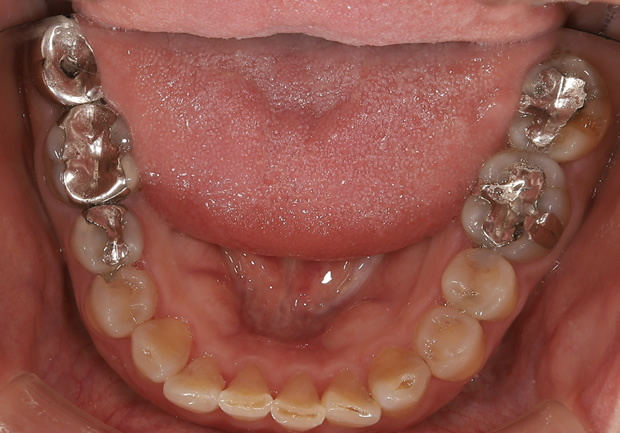
日本の歯科治療において、さまざまな金属が使用されています。特に虫歯治療で多用される銀歯(金銀パラジウム合金)は、安価なため長年重宝されてきました。
しかし本物の歯と見た目の差異が大きいので、笑ったり、口を大きく開けた際に人に見られることが恥ずかしいと感じられる方もいるのではないでしょうか。そして何よりも忘れてはいけない問題は「歯科金属アレルギー」という体に及ぼす影響です。

金属アレルギーの種類について
① 金属接触アレルギー

金属に触れた部分が赤くなったり、かゆみ、発疹、水ぶくれといったアレルギー症状が出るタイプ。ピアスやネックレスなどによって発症するものがよく知られています。
②全身型金属アレルギー

汗や唾液(つば)などによって溶け出した金属が体の中に取り込まれて、それを体が「異物」と認識し、過剰反応するためにアレルギー症状が出るタイプ。(抗体の過剰反応)
歯科金属アレルギーは②の「全身型金属アレルギー」
歯科金属アレルギーは後者のタイプ、つまり「全身型金属アレルギー(抗体の過剰反応)」に該当します。この反応は誰にでもすぐに起こるとは限らず、その人の体質によってアレルギー反応が出るかどうか、どのタイミングで出るのかには個人差があります。そのため数日で発症する人もいれば、数年経って突然という人もいます。そして、その症状は口の中だけにとどまらず体中のさまざまな部分で起こりえます。

歯科金属アレルギーの症状
顔や口の中に起こる症状例
- 口内炎が頻繁にできるようになる
- 唇が赤く腫れて、ただれてしまう
- 舌がピリピリ痛い
- 色素沈着で歯茎が黒っぽくなる
- 歯茎の炎症
- 歯の変色
全身の症状例
- 全身の肌荒れ・かぶれ・かゆみ
- アトピー性皮膚炎に似た発疹、蕁麻疹
- 脱毛症、頭痛、肩こり
- 自律神経失調症、喘息
- イライラ感、憂鬱感
- 不眠症
- 疲れやすくなる、集中力の低下
金属アレルギー以外の歯科金属の弊害
ガルバニー電流(=ガルバニック、ガルバニーニ電流)

フォークやアルミ箔をうっかり噛んでしまった際に、「ビリッ」とするような嫌な感覚を覚えた経験はありませんか。実はそれは「ガルバニックショック」という現象なのです。
口の中に歯科金属があると、異なる金属同士が唾液を通じて接触することで電位差を生じ、ガルバニー電流というものが発生します。それにより、先程述べた嫌な感覚を得てしまうのです。
ガルバニー電流は非常に微弱な電流ですが、自律神経の乱れといった体への悪影響を引き起こします。
アマルガム水銀

アマルガムとは「歯科用水銀アマルガム」の略称で、主に虫歯治療で削った歯の補填などのために使われてきました。「銀・スズ・銅・亜鉛の粉末と無機水銀」でできた合金で、成分の約50%が水銀です。1859年にアメリカ歯科医師会(ADA)が「アマルガム安全宣言」を提唱し、日本でも歯科金属として採用されました。
しかし2016年4月の歯科診療報酬改定で保険診療から除外されました。アマルガムに含まれる水銀が、人体に悪影響を及ぼす可能性があると認められたためです。しかし、何十年にも渡って歯科治療材料の代表格であったため、歯の治療痕にアマルガムが詰められている人は大勢います。
当院の金属アレルギー外来の治療について

お口の中の歯科金属アレルギーによる症状がわかった場合、体質に合った材料に置き換えることが望まれます。それには、セラミック治療やハイブリッドレジンなど生体に優しい材料へ置き換えることが望まれます。
当院は、すべて非金属でのメタルフリー治療が可能です。今は歯科金属アレルギーなど全くでてない患者様でも、将来的に症状が発症する可能性もあります。その可能性を限りなくなくゼロにするためのメタルフリー治療を、帝塚山スマイルデザインクリニックは提供しております。
インレー・クラウン・ブリッジの治療

セラミックは本物の歯に近い見た目と強度を持っているので、見た目も良く、噛み合う歯を傷付けません。また劣化しにくい素材のため、将来的に再治療のリスクを抑えられるため患者さまの負担も低く済みます。
当院では微細な金属や化学物質まで丁寧に取り除いた最高品質のセラミックを用いております。安心して治療をお受けください。歯科金属アレルギーをなくすだけでなく審美的にも美しい治療が可能です。
ダイレクトボンディング

ダイレクトボンディングは歯をできるだけ削らない、必要最小限のノンメタル治療です。歯科用金属を使用しないこのメタルフリー治療は最近の接着技術の向上によって可能になり、材料的にも進化し続けています。
最近では『一日でできる審美治療』としてテレビでも取り上げられており、材質はナノサイズのセラミック粒子を含む自費用ハイブリッドレジンを使用する新しい審美治療です。
ファイバーコア

「コア」とは歯根(歯の根っこ部分)の強度を上げるために、歯根を削り、土台としてしん棒を入れます。しん棒の素材に金属ではなくグラスファイバーを用いたものを「ファイバーコア」といいます。色が白いので被せものをした際に、メタルコア(金属製のしん棒)と異なり他の歯との調和が取れます。
また硬さが歯根に近く、しなる性質があるため歯根が割れる可能性を大幅に下げます。そして金属を全く使用しないので、金属アレルギーで悩まされている方に適した素材といえます。
ラバーダムの使用

「ラバーダム」とは治療する歯を中心に口全体をゴム製の膜で覆う処置です。歯を隔離することで、治療部分に唾液や浸出液などの細菌が入ることを防止したり、器具を謝って飲み込むことを防ぐ目的で使用されます。
重度の金属アレルギーが懸念される場合、この処置を行うことによって体内への金属の流入を防ぎ、金属アレルギーの発症のリスクをできるかぎり軽減します。
ジルコニアインプラント

一般的に使用されているインプラントは歯の土台部分にチタン(金属)を用いています。チタンは金属アレルギーが起こりにくいものとされていますが、将来的にどうなるかは分かりません。
そのため当院では、金属アレルギーの心配の方は「ジルコニアインプラント」を使用する場合があります。天然歯と同じような白さなので、見た目にも優れています。(ただし、噛み合わせなどに条件もございますので、詳しくはご相談ください。)

マウスピース矯正(インビザライン)

インビザラインは世界中で1000万人が治療を受けたマウスピース型の歯科矯正装置で、プラスチックでできています。非常に薄く、色も透明に近いので目立ちません。
従来のワイヤー型矯正装置などと比較して、唇や口の中の粘膜などを傷付けてしまう心配がありません。自分で取り外しができるので、普段通り歯磨きが行えます。金属を一切使用しないマウスピース矯正はメタルフリーの矯正治療です。

金属アレルギー外来の治療費用

| カウンセリング | 0円 |
| 精密検査 | 30,000円 |
| ファイバーコア(土台) | 18,000円 / 1本 |
| ジルコニアインレー | 80,000円 / 1本 |
| セラミック治療 | 130,000円〜180,000円 |
| ダイレクトボンディング | 40,000円 / 1本 |
自費診療となります。
上記は税別です。
2024年3月より料金改訂となりました。

各種クレジットカードでの分割払いも承っています。
また、お手続き簡単で金利の安いデンタルローンもご利用いただけます。
※詳細はお問い合わせください。
金属ゼロで不安ゼロの毎日を

TaichiIwashita
金属アレルギーは、「気のせいかもしれない」「歯とは関係ないかもしれない」と思い込みやすく、長年つらさを抱えたまま過ごしてしまう方が少なくありません。歯科治療で使われる金属が原因の一端になっているのであれば、きちんと調べて、できるだけ取り除いていくことが、からだ全体の健康にもつながると私たちは考えています。
またこれから歯科治療を受ける方にも、「金属アレルギーになるかもしれない」という不安を抱えずに過ごして欲しいと思っています。
当院の金属アレルギー外来では、できる限りアレルギーの不安から解放された毎日を過ごしていただくことを目標にしています。お口の中の金属を安全性の高い素材に置き換えることで、「この銀歯は大丈夫だろうか」といった心配を手放し、安心して食事や会話を楽しめるようになってほしい。それが私たちの願いです。
「本当に金属アレルギーなのか分からない」「まずは相談だけしたい」という段階でもかまいません。お話を伺いあなたにとって最善と思える選択肢をご提案いたします。お口とからだ、どちらの健康もあきらめない治療を、一緒に考えていきましょう。
