家族やお孫さん、大切な人との食事の時間が輝きだします!
インプラントで噛める喜びをもう一度!

今からでも遅くはありません。
歯がボロボロで噛めなくて困っている人は大勢います。そういう方々は『若い頃にもっと歯の手入れをしておけば良かった』と皆さん後悔されています。しかし、遅くはありません。すべての歯を失っても体が健康でありさえすれば、若い頃と同じように噛むことは可能です。諦めずに一度ご相談ください。
ただし、失ったものは非常に大きく、取り戻すためには費用と時間が相当かかります。それでも頑張れる方。望まれる方のみご来院ください。
インプラント症例一部ご紹介
【症例1】左上奥歯に1本インプラントを約10分で埋入した症例→痛み極小化

治療までの経緯

患者様は左上の1本の部分入れ歯を使用しており、その部分を固定式のインプラントにしたいと来院されました。
骨と歯茎の状態も良かったので、サージカルガイドを用いてインプラント埋入即時付加で仮歯を手術当日に入れました。
臨床

手術の時間を最短にし、歯茎を開ける量を極小にするためのサージカルガイドを作製します。
当院はサージカルガイドを院内で作製することができ、3Dプリンターを用いてガイドを作製します。
これによって患者様の『痛み』を極限まで減らすことができます。
サージカルガイドの写真

サージカルガイドは患者様の痛みを最小限にするのに有効です。
昔は、技工所に発注しないといけませんでしたが、今は院内で作製することができます。
口腔内スキャナー(IOS)で印象を行い、ソフトと3Dプリンターを用いて作製します。
フィットもよく、正確な手術を行うことが可能で患者様の腫れや痛みを少なくすることが可能です。
手術の後にすぐに仮歯が入ります!

骨の状態がよく、インプラントを埋入したときに動揺がなければ、その日に仮歯をいれることができます。
患者様は見た目もすぐに改善されるのですごく喜ばれます。
手術の時間が約10分

歯茎をほとんど開けないので、手術時間はかなり短縮されます。
この患者様はインプラント手術が12分で終了しました。体も楽で痛みも少なく大変喜ばれました。
CT画像での確認

サージカルガイドを使用すれば、歯茎を開ける事なく骨の中にインプラントを埋入する事ができます。
歯茎を開けると痛みが大きくなるので、サージカルガイドを使用することは患者様にとって非常に大切なことがわかります。
インプラントセラミックセット後

入れ歯をしなくなり、綺麗なインプラントが入り患者様に大変喜んで頂きました。
患者様は意識も上がり他の部位も綺麗にしたいと言って頂き私もすごく嬉しいです。
治療の詳細
| 年齢性別 | 60代女性 |
| 主訴 | 入れ歯をしなくて良いようにしたい。 |
| 治療内容 | 奥歯1本のインプラント |
| 治療費用 | 44万円 |
| 治療期間 | インプラントのみの治療:2ヶ月 |
| リスク・副作用 | 治療後はしっかりとメインテナンスを行わないと歯周病になる可能性があります。 |
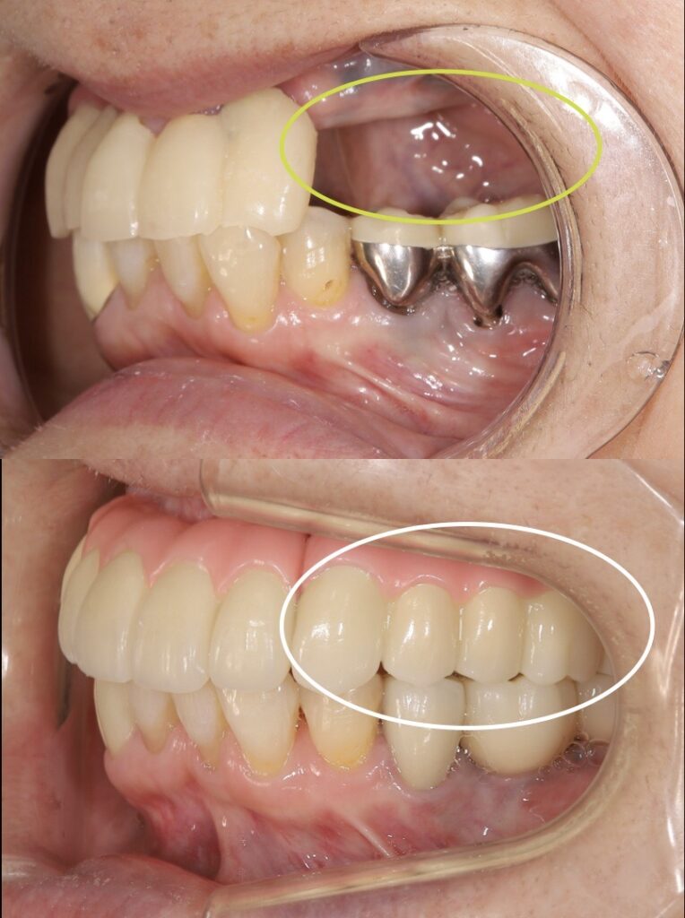
【症例2】左下奥歯に1本インプラントを埋入した症例(歯肉移植あり)

治療までの経緯

患者様は左下の歯を1本失いインプラントを希望され来院されました。
検査の結果、少し骨が足りない事と、インプラントを守る角化歯肉がなかったので、インプラントを埋入と同時に少しの骨造成GBRを行った後に遊離歯肉移植術FGGを行いました。
治療後は全く問題なく歯ブラシも行うことができ、快適にお食事を楽しまれています。
臨床
インプラント埋入までの経緯

①左下の奥歯を失ってから、1年ほど経過していたので、骨は治っていました。ただし、幅が少し足りないことがCT撮影によりわかりました。
②インプラントを埋入と同時に不足分の骨を足すマイナーGBRを行いました。
③インプラントをして4ヶ月後に歯肉の移植を行い、治癒後にセラミックをセットしました。
インプラントの周辺の歯肉移植

インプラントの周辺の歯肉は非常に重要です。
インプラントは虫歯にはなりませんが歯周病に弱く、インプラントを失う一番の理由はインプラント周囲炎とよばれるインプラントの歯周病です。
それを防ぐために、インプラントの周りに角化歯肉とよばれる硬い歯肉を移植します。
これによって、歯ブラシがしやすい形態にしたり、ブラッシング時の痛みを減らしたりするとインプラントの長持ちに繋がります。
当院ではインプラントの寿命を伸ばすためにこの処置をよくします。
インプラント&セラミッククラウンセット

インプラントの上に最終的なセラミッククラウンを被せ、角化歯肉も獲得することができました。
あとは、定期的なメンテナンスに来て頂きクリーニング、噛み合わせ調整など経過観察していきます。
治療の詳細
| 年齢性別 | 40代女性 |
| 主訴 | 左下にインプラントを入れて欲しい。 |
| 治療内容 | 奥歯1本のインプラント |
| 治療費用 | 44万円 ×1本 FGG 8万円 |
| 治療期間 | 6ヶ月(骨造成4ヶ月) |
| リスク・副作用 | 治療後はしっかりとメインテナンスを行わないと歯周病になる可能性があります。 |
【症例3】左上奥歯にインプラント3本埋入、被せ物5本で噛めるようになった症例)

治療までの経緯

左上に入れ歯をしており、インプラント治療をしたがったが、他院では骨が無いのでインプラント治療はできないと言われていた。
当院では骨を増やすGBRという治療が可能であり他院で難しいと言われたインプラント手術を日常から行なっております。
この患者様も無事インプラントで噛めるようになりました。
臨床
治療前後の横から見た写真

左上の歯が入っていることが見てとれます。インプラントは3本で上の被せ物は5本で噛めるようになりました。
治療前後のレントゲン写真

左上にインプラントを支えるための骨造成をしました。
サイナスリフトといって上顎の空洞に横から骨を挿入しインプラントを植立するための骨を十分に造ります。
合計3本のインプラントを埋入することができました。
治療前後の写真

左上の奥歯に綺麗なセラミックのインプラントを入れることができ、患者様も入れ歯と比較にならないほどよく噛めるとおっしゃって頂きました。
治療の詳細
| 年齢性別 | 60代女性 |
| 主訴 | 入れ歯ではなく、しっかりと奥歯で噛みたい |
| 治療内容 | 奥歯3本のインプラントと被せ物5本 |
| 治療費用 | 44万×3本 +セラミック13万×2本 |
| 治療期間 | インプラントのみの治療:2ヶ月弱 骨造成:6ヶ月 |
| リスク・副作用 | 治療後はしっかりとメインテナンスを行わないと歯周病になる可能性があります。 |

インプラントメリット
メリット
- 残った歯を削らない
- 天然の歯のように綺麗
- 自分の歯のように噛める
- 残った歯の負担を減らし守る
デメリット
- 高価である
- 手術が必要である
- 骨がない場合作る必要がある(GBR)
- 歯周病に弱い(インプラントは虫歯になりませんが歯槽膿漏に弱いです)
- 全身疾患(高血圧や糖尿病)が重度の方はできない場合がる
人によっては、インプラント治療ができない場合もございますので、一度、ご相談ください。
あなたに合った治療を説明させて頂きます。
メンテナンスの重要性
インプラントは虫歯になりませんが、非常に歯周病に弱く、必ず定期的に歯石除去やクリーニングによるメンテナンスが必要になります。あなたの歯を長持ちさせるために必ず受けてくださいね。
当院はインプラントを得意とする歯科医院です。よってインプラントでの治療が中心となりますが、入れ歯でのアプローチももちろんあります。費用、時間等によってインプラント治療を選択されない場合は当院の入れ歯担当の歯科医師、または他院への紹介もできますのでご相談ください。
監修者情報

院長:岩下太一(歯学博士)
ITI日本支部公認インプラントスペシャリスト認定医
オステムインプラントインストラクター 講師
日本審美歯科学会 認定医
他、所属学会、認定資格多数


