歯周病手遅れの症状とはいったいどんな症状なのでしょうか?歯周病(歯槽膿漏)の症状は段階によって全く異なります。各々の段階で治療方法も異なってきます。その中でも、『歯周病手遅れの症状』と、『なんとか残せるかもしれない症状と治療方法』をお伝えします。皆様のお口の健康にお役に立てれば幸いです。
目次
歯周病で手遅れの状態についてYouTubeで岩下先生からの説明
① 歯周病手遅れかしれない5つの症状

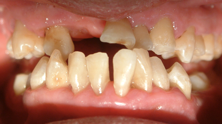
歯周病手遅れの症状 その1 『噛むと歯が動いて力が入らない』
噛むと歯が動いて、力が入らずしっかり噛めない人は要注意です。特に歯が上下に動く、すなわち噛むと歯が歯茎に沈むときは歯周病(歯槽膿漏)の手遅れの症状です。なぜなら、上下に歯が動くということは、歯の下に骨がなくて、歯茎の上に歯が浮いている状態だからです。えっ?そんな状態で歯は抜けないの?と思うかもしれませんが、歯茎にくっついて、歯は抜けてこないことが多いです。
歯周病手遅れの症状 その2 『噛むと痛い』
噛むと痛い理由が『歯が動くこと』によるなら、それはかなり、骨が歯周病(歯槽膿漏)によって減少している可能性があります。歯周病自体はほとんど痛みがありません。骨に痛覚はなく、自分でも気づかずに、『変だな』と思った時に、重度の歯周病にかかっている人が大勢います。歯周病は、歯茎の病気だと思われがちですが、実は骨の病気です。歯は骨に埋まってしっかりと固定されているから噛めるのです。その骨がなくなればなくなるほど噛めなくなります。
歯周病手遅れの症状 その3 『歯が上下に動く』

歯周病(歯槽膿漏)の症状として歯が動くのが一般的ですが、その動きによって症状がだいぶ違います。前後左右に動くときは、まだ根っこの先は骨に埋まっていることが多いです。
この場合、歯を助けることができます。しかし、上下に動くとき、これは、根の先が骨に埋まっておらず、不良肉芽という、悪い歯茎の上に歯が浮いている状態のことが多いです。この状態になっている場合はレントゲンと撮れば一目でわかります。
歯周病手遅れの症状 その4 『歯並びがバラバラになってきた』

歯周病(歯槽膿漏)で骨が溶けていくと、歯が動いていきます。そのまま症状が進んでいくと、歯が噛む力が支えきれずにバラバラの方向に移動していき、隙間が空いてきたり、噛むと痛くなったりします。
この症状の人は要注意です。噛むたびに歯が動くというとは、その度に骨は減少していきます。歯周病(歯槽膿漏)プラス噛み合わせが悪いというダブルの骨減少の原因を抱えていることになりますので、早めに歯科医院に相談に行きましょう。この段階だとまだ残せるかもしれません。急いでください。場合によっては矯正治療が必要になる場合があります。
歯周病手遅れの症状 その5 『その他』
歯周病(歯槽膿漏)の症状は多くありますがその程度によって、症状は様々です。以下のような歯周病(歯槽膿漏)の症状でも、かなり歯周病が進行している場合もります。『歯茎が腫れている。押す膿がでてくる。歯ブラシをすると絶対に血がでる。体調が悪くなると、大きく腫れることがある。』どれも健康な状態ではなく、早く治療するべきでしょう。この状態ならまだ歯を残せる可能性があります。まずは、怖がらずに歯科医院にいって診てもらいましょう。まだまだ残せる歯があり、もしかしたら抜かずに間に合うかもしれません。勇気をもって、相談にいかれてはいかがでしょうか?

上記の『歯周病手遅れ症状』の歯を残す方法の前に、そうならないための歯周病治療(歯槽膿漏治療)を説明します。歯周病(歯槽膿漏)を改善し、まだまだ残せる歯は絶対にあるはずです。あきらめないでください。すなわち基本的な4つのステップアップの歯周病治療(歯槽膿漏治療)です。
② 歯周病治療(歯槽膿漏治療)の4ステップ
ステップ1 歯茎と歯の周辺の歯石取り (スケーリング)
基本的に歯茎の上から見える歯石(縁上歯石)やプラークを取る治療です。歯科医院では超音波スケーラーといわれる機器を使用し、歯石をとります。歯石とは、簡単にいうとプラークが硬くなって石となったもので、歯石になってしまうと歯ブラシでは除去できないので、歯科医院で取ってもらいましょう。これらを行い、歯周ポケットが2~4ミリほどなら、年に数回の定期的な歯周病メインテナンスで大丈夫です。これでも歯周ポケットが4ミリ以上だとステップ2の治療が必要となります。
ステップ2 歯茎の中の歯石とり (SRPルートプレーニング)
歯周ポケットという言葉をご存知でしょうか? 一度、歯石がつくと、どんどんと歯茎の中のほうへ歯石は浸潤していき、歯茎と歯の結合を剥がしていき歯茎の中にポケットができます。そのポケットの中の歯石を取るのがステップ2となります。麻酔をしてすることが多く、歯周ポケットの深さによって、かかる時間も異なります。当院ではお口の中を4~6ブロック分けて一回につき1ブロックを1時間ぐらいかけて行います。全て終了したあと1ヶ月後に再検査を行います。そこで、改善が見られない場合はステップ3に向かいます。

ステップ3 歯周外科 (再生療法を併用)
ステップ2の治療が終了しても歯周ポケットの深さが5ミリ以上あるときは、次は歯茎を実際に開けて、歯石と悪い歯茎(不良肉芽)を除去します。その際に再生療法と呼ばれる治療を併用することがあります。エムドゲインなどの歯周組織再生材料や骨補填材などを併用すれば骨の再生を促すことも可能です。
ステップ4 抜歯
ステップ4では、残念ながら保存不可能と判断された歯を抜くことになります。本当に残念です。この段階の歯は最初に説明した、『歯周病手遅れ症状』の歯で、残すことによるデメリットが大きく、最悪な場合、周りの残せる歯に歯周病が進行し一緒に抜けてしまう可能性まででてくるからです。できるかぎり、残すことを考えてあらゆる治療方法を受けたあとでも、この状態では難しいかもしれません。

③ 歯周病手遅れ症状の5つ治療方法
1.歯周病手遅れ症状『噛むと痛い』の解決方法 ⇒ 噛み合わせ調整
まずは、一部に噛む力が集中していないかを診断し、噛み合わせを調整します。歯周病は歯が動きやすいので噛み合わせが変化し、思わぬところが強く当たっている場合が往々にしてあります。歯周病と噛み合わせは非常に関係があります。噛み合わせが強いところは、骨も緩みやすく、歯周病にもかかりやすいです。よって噛み合わせ調整は非常に重要です。
2.歯周病手遅れ症状『噛むと歯が動いて噛めない、力が入らない』 ⇒ 歯の連結固定
噛む力を歯が一本では支えきれない場合、横の歯を何本が繋いで連結させて噛めるようにする場合があります。歯と歯の間をスーパーボンドと呼ばれる接着材でくっつけたり、細いワイヤーで何本かの歯をつなげる場合もあります。暫間固定と呼ばれ、基本的には応急処置の部類に入ります。
3.歯周病手遅れ症状『歯の位置がバラバラになってしまった』 ⇒ 矯正治療
歯の位置が悪くなると、均等に噛む力を分散できずに(1)(2)の症状がおきることが多いです。骨がまだ、矯正治療に耐えうることができる場合は、診断の結果、思いきって矯正治療を行い、あとで連結固定を行なったほうが噛み合わせも安定して、歯が長持ちする場合があります。
4.歯周病手遅れ症状『歯が上下に動く』 ⇒ 他の歯を守るための戦略的抜歯
根の先まで骨がない場合、その歯を助けることは非常に難しくなります。それどころか、そこまで骨がないということは、周りの歯にも悪影響を及ぼし、その周囲の骨が減少してしまうことが多いです。残せる歯まで、悪い歯の道連れになってしまうなら、本当に残念ですが、戦略的にその歯を抜くことをお勧めします。また、歯を抜くときも、抜いて終わりではなく、抜いた後の膿の除去も徹底的に行わないと、骨は戻ってきません。もし、そこにインプラントなどの治療を望まれるときに、その抜いた状況によって治療方針は異なってきます。歯を抜くときから、次の治療が始まっています。
5.歯周病手遅れ状態『骨がほとんどない』 ⇒ 再生療法、骨移植を駆使
骨が少しでもある場合、かろうじて残す方法はあります。まずはCT画像で骨の状態を確認します。強い噛み合わせを取り除き、周りの歯と繋げて固定を行います。その際にすることは、歯石を徹底的に除去して歯茎を引き締めたあと、再生療法を行います。再生療法とは、まうは歯茎を開けて、歯の周りの悪い肉芽を除去します。そして、骨毛欠損部へ骨補填材やエムドゲインなどの歯周組織再生材料を塗布し、骨の再生を促します。ただし、限界はあり、周りの歯の状態によります。まずは、しっかりとCT撮影や噛み合わせや骨格的リスクを診断し、残せる歯は全力で残す。残すことによって他の歯に悪影響を及ぼす歯は戦力的抜歯を行うなどの治療方法を選択することをお勧めします。
最大限、可能なかぎり『自分の歯を残す治療』を当院では提案させて頂きます。自分の歯に勝るものはありません。歯周病(歯槽膿漏)でお困りの方はまずは一度、相談にこられてみてはいかがでしょうか?スマイルデザインクリニックはあなたの歯を守るために存在します。

40代女性は歯周病の手遅れの症状になりやすい?
当院には歯周病手遅れの症状でお悩みの患者様がたくさん来院されますが、特に40代の女性は「他院で、歯周病が進行して手遅れなので抜歯と言われた」という訴えが多いです。 果たして40代女性は本当に歯周病が進行しやすいのか?
それは「本当」です。
ではなぜ、40代女性が歯周病手遅れ症状になりやすいのか?順を追って説明します。
そもそも歯周病とは?
歯周病とは歯周病菌により歯を支える骨が溶けて歯が抜けてしまう怖い病気です。 この溶けた骨が自然に戻ることはなく、歯周病になった場合はできるだけ早く進行を止める必要があります。 歯周病は痛みがないまま悪化するので、気づいた時には手遅れになっているという非常に厄介な病気です。さらに恐ろしいのが、歯周病は感染症の一種であり、コロナやインフルエンザ、肝炎のように、人から人へうつります。「世界で最も一般に蔓延している感染症」としてギネスにも認定されています。
また、歯周病菌は血管を通って全身を巡ります。糖尿病の原因の一つとしても知られています。そして歯周病菌は様々な合併症を引き起こします。
細菌の塊であるプラークが固まると「歯石」と呼ばれる状態になります。歯周病菌を含む、様々な細菌が固まったものだとお考えください。 この歯石は歯ブラシで取り切ることはできないため、専門家(歯科衛生士)による歯石除去が必要になります。 除去をせず放置していると、歯と歯茎の間に『歯周ポケット』と呼ばれる空間ができ、そこにプラークや歯石が溜まり、それによりさらに歯周ポケットが深くなっていくという悪循環に陥ります。 それだけではなく、歯を支える歯周組織に炎症を起こし、重度になると歯を支える骨が溶けていきます。 歯周病の手遅れ症状とも言える重度では、土台となる骨の再生が厳しく、歯を保存する治療は難しくなります。

40代女性が歯周病手遅れ症状になりやすい理由
では、『40代女性と歯周病』どう関係するのでしょうか?
40代に入ると女性ホルモンが低下してくると、女性はある時期を迎えます。 皆さんも必ず聞いたことがある「更年期」という時期を迎えます。 更年期では女性ホルモンの分泌が大幅に減少することによって「骨粗鬆症」にかかるリスクがグッと上がり、かかってしまうと「骨代謝」が正常に行われなくなってしまいます。骨代謝とは、古い骨を壊して新しい骨を作るサイクルのことであり、骨代謝が正常に行われないとどんどん骨密度が低下し、骨が脆くなり折れやすくなってしまいます。そしてその症状は歯を支える歯槽骨にも及び、大きな影響を与えます。
もうお分かりですね。 骨密度が低下するということは、骨を溶かす歯周病の進行を著しく早めてしまうのです。まさに最悪の組み合わせであり、気づけば重症化していて手遅れに、ということも少なくありません。さらに40代から体の免疫力も低下していきます。
重度の歯周病を治療するのは非常に困難です。熟練の歯科医師でも進行を止め、現状を維持することに努めます。 そうなると、治療よりも予防、歯周病にならない、もしくは定期的に検査に行き重症化させないことがまずは重要になってきます。
虫歯タイプと歯周病タイプについて知ろう
誰もが知っている「虫歯」ですが、実は歯を失う要因としては第1位ではなく第2位であるのはご存知でしょうか。
実は第1位は「歯周病」です。 両方とも菌が原因ですが、「虫歯は歯を溶かす」、「歯周病は骨を溶かす」という点で異なります。
40代女性は歯周病手遅れの症状になりやすくはありますが、もちろん歯周病になりにくい方もいれば虫歯になりやすい方もいます。
実は虫歯になりやすい「虫歯タイプ」と歯周病になりやすい「歯周病タイプ」というものがあり、それぞれを知っておくことで予防することが可能です。
<虫歯タイプの特徴>
- 歯並び悪く歯磨きがしづらい(清掃性が悪い)
- ドライマウス
- 口呼吸をする
- 糖の多いものをよく食べる
- 間食が多い
- 歯がしみたり痛くなったり局所的な治療が多い
<歯周病タイプの特徴>
- 歯並び悪く歯磨きがしづらい(清掃性が悪い)
- ドライマウス
- 口呼吸をする
- 喫煙習慣や生活が不規則である
- 間食が多い
- 虫歯の経験が少なく歯科医院に通う習慣がない
- 抵抗力が弱い
- 糖尿病を罹患している
ご存知でしたか?歯が抜けはじめる年齢
「歯がないのは高齢者」とお思いの方、実は間違いです。 厚生労働省の統計によると、歯が抜け始めるのは40代で、平均1.5本抜けているそうです。 50代で2.5本抜け、この時点で4本の歯が抜けています。60代となると一気に加速し、さらに3本以上の歯が抜けます。 抜けるというのは、自然になくなるわけではありません。歯周病や虫歯により、あえなく抜歯となったという意味です。 40代が重要であるかがわかるかと思います。
40代以上の方が歯を失う原因TOP3
- 重症化した歯周病
男性・女性に限らず、やはり重症化した歯周病は歯を失う原因で第一位です。 多くの方は30代以降に歯周病が発症し、その後10年くらいで悪化するというケースが多いです。 - 虫歯の再発
過去に治療した虫歯の再治療、これも多いです。虫歯になるたび歯を削る必要がありますが、削れる回数にも限度があります。詰め物や被せ物の下で虫歯が進行しているケースが多く、特に保険診療で簡単に済ませているとなりやすいです。 - 歯根破折
歯の根っこが折れる、割れる、またヒビが入った状態を指します。神経をとった歯は構造的に非常に脆くなり歯根破折になりやすいです。また神経がないことで痛みも感じないため、気づかない間に歯が虫歯になってもろくなり割れてしまいます。
歯を失わないために
性別、年齢のそれぞれの観点からも、40代女性は歯周病手遅れ症状になりやすいということがお分かりいただけたと思います。 歯周病は完治の難しい病気ですが、意識的に予防することは可能です。 また、歯周病になってしまった場合は早急に進行を止めなければいけません。 歯周病で手遅れになり歯を失わないように、継続的に歯科医院に通うことをお勧めします。
歯周病チェックリスト
以下に該当する方は歯周病の可能性があります。
- 朝起きたときに、口のなかがネバネバする。
- 歯みがきのときに出血する。
- 硬いものが噛みにくい。
- 口臭が気になる。
- 歯肉がときどき腫れる。
- 歯肉が下がって、歯と歯の間に隙間ができてきた。
- 歯がグラグラする。
歯周病により完全に手遅れになった場合は
歯周病を予防していても進行した、予防に至る前に症状が手遅れだった、こういった方もいるかもしれません。
残念ながら、手遅れ症状である重度の歯周病だと、治療することは困難です。
しかし、失った歯の代わりの治療をすることは可能です。
失った歯を取り戻す手段として、「インプラント」という方法もあります。
入れ歯、ブリッジも、もちろん選択肢の一つではありますが、まず初めに検討すべきは「インプラント」になります。
入れ歯は金具を他の歯に引っ掛けることで固定し、ブリッジは欠損した歯の両隣の歯を削り一つの橋のような歯にすることで、欠損部を補います。
その2つの治療法に共通するのは、「他の歯の力を借りること」です。
これはつまり、「残っている歯に、もともとかかる力以上の負担をかける」
ということであり、歯の寿命を削る要因になります。
せっかく欠損部を治療しても、その治療が原因でまた歯を失うことになりかねません。
インプラントであれば、他の歯の力を借りことなく独立した歯をつくれますので、治療が原因で他の歯を失うことはありません。
インプラントと聞くと痛そう、怖いといった不安が先行すると思いますが、当院では『時間短縮・痛みの極小化』に成功しております。
従来よりも安心かつ安全なのは前提として患者さんの負担が大幅に軽減されておりますので、どうぞご安心ください。
その症例を一部ご紹介いたします。

インプラント症例一部ご紹介
①左上奥歯に1本インプラントを約10分で埋入した症例→痛み極小化

左上奥歯に部分入れ歯を使用されていた患者様が、固定式の歯にしたいと来院されました。
骨や歯ぐきの状態が良好だったため、サージカルガイドを使用し、手術当日に仮歯まで装着。
手術時間は約10分と短く、痛みや腫れも最小限で済みました。
見た目と噛みやすさがすぐに改善され、大変喜ばれた症例です。
②左下奥歯に1本インプラントを埋入した症例(歯肉移植あり)

左下の歯を1本失った患者様で、骨の幅が不足していたため、
インプラント埋入と同時に骨造成(GBR)を実施しました。
さらにインプラントを長持ちさせるため、角化歯肉を増やす歯肉移植も行っています。
治療後はしっかり噛めるようになり、ブラッシングもしやすくなりました。
③左上奥歯にインプラント3本埋入、被せ物5本で噛めるようになった症例)

左上に入れ歯を使用しており、他院では「骨がないのでインプラント不可」と言われた患者様です。
当院では骨を増やす治療(サイナスリフト)を行い、インプラント3本を埋入。
被せ物5本で奥歯全体を回復し、入れ歯とは比べものにならないほど噛めるようになりました。
難症例でも対応可能なことを示す代表的なケースです。
寄り添うことをお約束いたします
いかがでしたでしょうか。
当院では残せる歯を安易に抜歯し、インプラントを勧めるということは致しません。
大切なのは経験・技術・経験はもちろんですが、何より患者さんの想いに寄り添うことだと思っています。
しかしながら正直に申しますと、それでも歯を残すのが難しいケースもあります。
その場合でもご納得いただけるようにしっかりと説明の時間を設けますので、ご安心ください。
歯を残すための治療
歯を失っても機能を回復するための治療
どの治療になろうとも、私たちは全力で向き合うことをお約束いたします。
監修者情報

院長:岩下太一(歯学博士)
ITI日本支部公認インプラントスペシャリスト認定医
オステムインプラントインストラクター 講師
日本審美歯科学会 認定医
他、所属学会、認定資格多数



